癒合歯・癒着歯とは?
2025年9月29日
こんにちは!歯科衛生士の及川です。
今回は、特に『乳歯(子どもの歯)』によく見られる「癒合歯(ゆごうし)」と「癒着歯(ゆちゃくし)」についてお話していきます。
「前歯が大きくて変わっている」「子どもの歯の数が少ない気がする」など、気になる歯の形や本数について心配されたことはありませんか?もしかすると、それは癒合歯や癒着歯かもしれません。
乳歯では比較的起こりやすい現象で、成長期のお子さんのお口の中を診ていると意外と見つかるものです。早めに知っておくことで、将来の歯並びや健康な永久歯への生え変わりをスムーズにすることができます。
歯はどうやってできるのか?
まず、歯はいつできるのでしょうか。お母さんのお腹にいる時から歯はつくられているのです。
胎生8週頃~:歯胚(しはい)とよばれる歯の芽ができ始める。
胎生9週頃~:歯胚が膨らみ、周囲の上皮が帽子のように増殖する。
胎生14週頃~:エナメル質や象牙質、歯髄(歯の神経)などをつくり始める。
生後6ヶ月頃~:下の前歯が生えくる。
3歳~:乳歯20本が生えそろう。
6歳~:歯が抜け始める。
12歳~:永久歯が生えそろう。
個人差はありますが、上記のような流れで歯はつくられ、生え変わっていきます。ここで覚えていてほしいのは『歯胚』という言葉です。

癒合歯(ゆごうし)とは?
癒合歯は2つの歯胚(歯の芽)が発育途中で結合して1本になった歯のことです。外見は通常より大きく、中央にくびれがあったり、歯冠が双頭状に見えるのが特徴です。内部の歯髄腔(歯の神経があるところ)がつながっている場合もあれば、部分的に分かれている場合もあります。
乳歯でよく見られ、下顎乳前歯部(下の前歯)での発生率が高いといわれています。
特徴
・見た目が大きく、平べったい歯に見える
・本来2本あるはずの歯が1本に見える
・エナメル質や象牙質、歯の神経まで結合している
なぜ起こるのか?
歯ができる途中で、隣同士の歯胚がくっついてしまうことで起こります。
はっきりとした原因は分かっていませんが、遺伝や妊娠中の影響、発育環境などが関係しているといわれています。
癒着歯(ゆちゃくし)とは?
癒着歯は、歯の根っこにあるセメント質動詞がくっついてしまった歯を指します。根の部分でのみ癒着していることが特徴です。そのため外見からは気づきにくく、レントゲン写真で偶然見つかることも多いです。大人の歯でよくみられ、特に上顎大臼歯部(上の奥歯)での発生率が高いといわれています。
特徴
・レントゲンを撮ると歯の根っこ同士がくっついている
・主に永久歯に多く、奥歯でよく見られる
なぜ起こるのか?
炎症や外傷などでセメント質が多く作られてしまったり、歯の根っこが近くにあって成長とともに自然にくっついてしまうこともあります。
癒合歯・癒着歯による影響
・萌出異常と歯列不正
通常の1本分より歯幅が大きく、歯列弓のスペースが不足し、叢生(歯の重なり)が起こることがあります。
・むし歯・歯周病リスク
癒合部には深い縦溝や不規則な窪みが存在することが多く、歯ブラシでプラークを除去しづらい環境です。溝に沿った歯石沈着やむし歯が起こりやすく、歯肉炎から歯周炎へ進行する例もあります。
・永久歯の先天欠如
永久歯の歯胚(歯の芽)が一方もしくは両方欠如している確率が高いといわれています。
・乳歯が抜けづらい
本来、永久歯は乳歯の歯の根を吸収することでグラグラし、自然と抜け落ちます。しかし、癒合歯は歯根吸収がうまく行われないことが多いため、自然に生え変わらない場合があります。
癒合歯と似たもの:双生歯(そうせいし)
癒合歯とよく似た形で「双生歯」というものもあります。これは1つの歯のもとが途中で分かれて2つになりかけた状態です。見た目は癒合歯とほぼ同じですが、歯の本数が減らないという点で区別されます。
癒合歯か双生歯かを見分けるには、レントゲン検査や歯の本数の確認が必要です。
歯の形態異常としての位置づけ
癒合歯や癒着歯は、「歯の形の異常(形態異常)」の一種です。
他にも、以下のような形態異常があります:
・中心結節(ちゅうしんけっせつ):奥歯の真ん中に小さな突起ができる
・湾曲根(わんきょくこん):歯の根っこが曲がっている
・過剰歯、先天欠如:歯の本数が多すぎる/少なすぎる
癒合歯や癒着歯は、見た目の問題だけでなく、将来的な噛み合わせや歯列全体に影響を与える可能性があるため注意が必要です。
治療は必要?どう対応すればよいのか?
癒合歯・癒着歯があるからといって、必ず治療が必要というわけではありません。しかし、以下のような場合には治療や専門的なケアを検討します。
治療が考えられるケース
・虫歯になりやすい構造の場合、定期的なフッ素塗布やシーラントが必要
・永久歯の先天欠如や生え方に異常がある
・歯並びや噛み合わせに影響がある
観察が大切!
特に乳歯の癒合歯は、永久歯への生え変わりに影響することがあるため、定期的な歯科検診で経過観察を行うことがとても重要です。
まとめ
癒合歯や癒着歯は、乳歯や永久歯の形態異常の一つであり、見た目だけでなく将来的な歯列や噛み合わせにも関係してくる可能性があります。
「うちの子の歯、ちょっと変わってる?」と思ったら、早めに歯科医院でご相談ください。成長を見ながら、適切な対応をしていくことが、健康な永久歯の育成と正しい歯並びのための第一歩になります。それでは皆さま定期検診でお待ちしております◎
ワイヤー矯正は痛い?原因・対策・メリットまで徹底解説
2025年9月25日
こんにちは。仙台市宮城野区二十人町、JR「榴ケ岡駅」より徒歩6分、「仙台駅」東口より徒歩15分にある歯医者「仙台ファースト歯科」です。

ワイヤー矯正は、古くから行われてきた代表的な歯列矯正方法のひとつです。ブラケットを歯に取り付け、そこにワイヤーを通して歯に力を加えることで、歯並びや噛み合わせを整えていきます。
高い矯正効果を持ち、幅広い症例に対応できるのが魅力ですが、その一方で痛いと感じる方が多いのも事実です。 矯正を検討している方にとって、治療中の痛みは大きな不安要素でしょう。
しかし、この痛みには理由があり、正しいケアを行うことで軽減できる場合がほとんどです。
今回は、ワイヤー矯正中に痛いと感じる原因や対処法などについて解説します。
ワイヤー矯正とは

ワイヤー矯正とは、歯の表面にブラケットと呼ばれる小さな装置を取り付け、そこに通したワイヤーの力を利用して、少しずつ歯を理想的な位置に動かしていく治療法です。
ワイヤー矯正は、歴史が長く確立された方法であり、軽度の歯列不正から重度の噛み合わせの問題まで、幅広い症例に対応できる点が最大の強みです。歯を細かくコントロールできるため、複雑な歯並びの改善や抜歯を伴うケースにも対応できます。
ワイヤー矯正の種類
ワイヤー矯正にはいくつかの種類があります。
表側矯正(唇側矯正)
表側矯正は、歯の表面にブラケットを装着し、ワイヤーを通して歯を動かす最も一般的な矯正方法です。幅広い症例に対応でき、費用も抑えられるのが特徴です。
ただし、口を開けたときに装置が目立ちやすい点はデメリットといえます。
裏側矯正(舌側矯正)
裏側矯正は、歯の裏側(舌側)にブラケットとワイヤーを装着する方法です。歯の裏側に装置をつけるため、外から見えにくく審美性に優れています。
ただし、歯の裏側に装置を取り付けるため、発音への影響や舌への違和感が強く出ることがあります。また、治療費も高額になりやすいのが特徴です。
ハーフリンガル矯正
ハーフリンガル矯正は、上の歯には裏側矯正を、下の歯には表側矯正を組み合わせた方法です。上の歯は笑ったときに目立ちやすいため裏側に、下の歯は見えにくいため表側に装置をつけることで、審美性と費用のバランスを取れるのがメリットです。
他の矯正方法との違い
ワイヤー矯正と比較されることの多い方法に、マウスピース矯正があります。マウスピース矯正で使用する装置は目立ちにくく取り外しが可能という利点がありますが、対応できる症例に限りがあります。
一方、ワイヤー矯正は重度の不正咬合や複雑な歯列にも対応可能で、より確実に歯を動かすことができます。 治療中の痛みや装置の目立ちやすさといった課題はあるものの、総合的な治療効果を求める方にとっては信頼性の高い方法といえるでしょう。
ワイヤー矯正中の痛みの原因

ここでは、ワイヤー矯正中の痛みの原因について解説します。
歯に加わる持続的な力による痛み
ワイヤー矯正の装置を初めて装着した直後は、歯に新しい力がかかるため全体的に圧迫感を伴う痛みが出やすくなります。特に装着から1〜3日がピークとされますが、多くは1週間ほどで和らいでいきます。痛みが強い間は柔らかい食事を選ぶと負担を軽減できます。
また、ワイヤーを調整すると、歯に新たな力が加わるため痛みが生じやすくなります。こちらも1〜3日ほどがピークで、徐々に落ち着いていきます。
痛みを強く感じる場合は硬い食べ物を避け、必要に応じて歯科医師の指示のもとで鎮痛薬を使用することもあります。
装置による口内への刺激による痛み
ワイヤーやブラケットが頬や唇、舌に当たることで口内炎や傷ができることがあります。特に治療開始直後や調整直後は装置に慣れていないため発生しやすいです。
食事による負担
矯正中の歯は常に動いているため、硬い食べ物や噛みごたえのある食品を食べると強い痛みを感じやすくなります。特にワイヤー調整直後は噛むたびに圧力がかかり、痛みが増す傾向にあります。そのため、治療中は食事内容に工夫が求められます。
ワイヤー矯正中の痛みに対して自分でできるケア

ここでは、ワイヤー矯正中に痛みがあるときに自分でできるケア方法について解説します。
柔らかい食事を選ぶ
装置の調整直後や痛みが強い時期は、豆腐やスープ、煮込み料理など柔らかい食事を選ぶことで負担を減らせます。硬い食材や粘着性のある食品は装置への負担や痛みを強める原因になるため避けましょう。
冷やす
ワイヤー矯正中に痛みがある場合、タオルなどに包んだ保冷剤を頬に当てて冷やすことで痛みが和らぐこともあります。
ただし、冷やしすぎないようにしましょう。冷やしすぎると歯の動きを妨げる可能性があります。
鎮痛剤を服用する
どうしても痛みが強く、日常生活に支障がある場合は市販の鎮痛剤を服用するのも一つの手です。
ただし、服用する際は自己判断せず、かかりつけの歯科医師や薬剤師に相談したうえで服用するようにしましょう。正しく使えば痛みを軽減でき、治療を続けやすくなります。
矯正用ワックスで保護する
ワイヤーやブラケットが頬や舌に当たって傷ができやすい場合は、矯正用ワックスを使うと刺激を和らげられます。矯正用ワックスは歯科医院で処方してもらえることが多いため、装置が触れることによって痛みがあるときは相談しましょう。
痛みが続くときは歯科医院で相談する
セルフケアで改善しない強い痛みや、数日以上続く違和感がある場合は自己判断せず歯科医院へ相談することが大切です。適切な調整や処置を受けることで、治療を快適に進めることができます。
ワイヤー矯正のメリット

ここでは、ワイヤー矯正のメリットについて解説します。
幅広い症例に対応できる
ワイヤー矯正は、軽度の歯列不正から重度の不正咬合まで幅広い症例に対応できるのが最大の強みです。抜歯が必要なケースや歯のねじれ、重なりが大きい場合でもしっかりと対応でき、理想的な噛み合わせに導くことができます。
歯を精密にコントロールできる
ブラケットとワイヤーを用いることで、歯を三次元的に細かく動かすことが可能です。そのため、微調整が必要なケースや複雑な歯並びの改善にも効果的です。歯科医師が定期的に装置を調整することで、少しずつ歯を目標の位置に移動させていきます。
治療実績が豊富で信頼性が高い
ワイヤー矯正は長い歴史があり、多くの症例に基づいた治療データが蓄積されています。特に複雑なケースでは、他の方法よりも安心感が得られる治療法です。
ワイヤー矯正のデメリット

ここでは、ワイヤー矯正のデメリットについて解説します。
痛みや違和感がある
ワイヤー矯正では、歯を動かす力が加わるため、装置を装着した直後や調整後に痛みや違和感が生じることがあります。多くの場合、数日から1週間ほどで慣れてきますが、痛みの程度には個人差があり、食事や会話に影響することもあります。
見た目が気になる場合がある
ワイヤー矯正の大きなデメリットは、歯に取り付けたブラケットやワイヤーが目立ちやすい点です。特に人前に立つ機会が多い方や見た目を気にする方にとっては心理的な負担になることがあります。
ただし、近年ではセラミックブラケットやホワイトワイヤーなどの目立ちにくい装置も選択できるようになっています。
食事や歯磨きの制限
ワイヤー矯正で使用する装置は固定式です。そのため、食事の際に食べ物が装置に挟まることがあります。また、硬い食べ物や粘着性のある食べ物を口にすると、装置の破損や外れにつながる可能性があります。
さらに、歯磨きがしにくくなるため、虫歯や歯周病になるリスクが高まります。食事や口腔ケアに気を配る必要があるのは大きな負担といえるでしょう。
ワイヤー矯正の費用・期間・通院頻度

ワイヤー矯正にかかる費用は、治療範囲や使用する装置の種類によって異なります。
一般的に全体矯正では60万〜130万円程度、部分矯正であれば30万〜60万円程度です。セラミックブラケットやホワイトワイヤーなど、目立ちにくい素材を選ぶと追加費用がかかるケースもあります。歯科医院ごとに料金体系が異なるため、事前に確認することが大切です。
治療期間については、歯並びの状態などによって差がありますが、全体矯正では2〜3年程度が一般的です。軽度の歯列不正であれば1年程度で終了することもありますが、抜歯を伴うケースや複雑な歯並びの場合は3年以上かかることもあります。
通院頻度はおよそ月に1回が目安です。ワイヤーの調整や装置の状態確認を行うため、定期的な通院が欠かせません。費用・期間・通院頻度を正しく理解しておくことで、治療計画を立てやすくなります。
まとめ

ワイヤー矯正は歯並びを整えるための一般的な治療法です。装置を装着した直後や調整後には、歯が動くときの圧力や装置が口の中に当たることで痛みを感じることがありますが、多くの場合は数日で落ち着いていきます。
痛みを和らげる工夫としては、柔らかい食事を心がける、鎮痛剤を服用する、矯正用ワックスを使用するなどといった方法があります。強い痛みや違和感が長引く場合は、自己判断せず歯科医師に相談することが大切です。
ワイヤー矯正を検討されている方は、仙台市宮城野区二十人町、JR「榴ケ岡駅」より徒歩6分、「仙台駅」東口より徒歩15分にある歯医者「仙台ファースト歯科」にお気軽にご相談ください。
当院では、各分野を専門とするドクターがチームを組んで治療をおこなっています。小さなお子様から仕事で忙しい方、さらにはご高齢の方まで、生活スタイルに合わせた無理のない治療を提供いたします。
当院のホームページはこちら、お問い合わせも受け付けておりますので、ご活用ください。
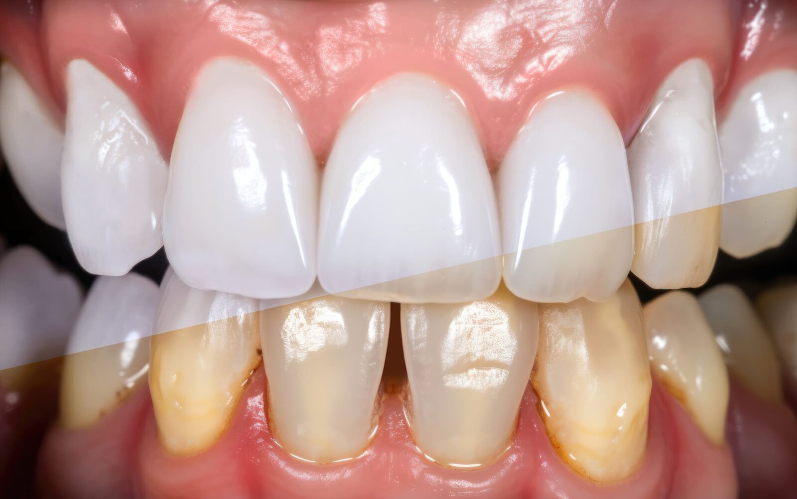
ホワイトニングの種類と選び方|費用・期間・注意点を解説
2025年9月18日
こんにちは。仙台市宮城野区二十人町、JR「榴ケ岡駅」より徒歩6分、「仙台駅」東口より徒歩15分にある歯医者「仙台ファースト歯科」です。

歯の白さは第一印象を大きく左右する要素のひとつです。近年では、美意識の高まりとともに、歯のホワイトニングに対する関心が急速に高まっています。芸能人やモデルのような白く輝く歯に憧れ、ホワイトニングを検討する方も多いのではないでしょうか。
しかし、一口にホワイトニングと言っても、その方法や効果、費用にはさまざまな違いがあります。自分に合った方法を選ぶためには、まずそれぞれのホワイトニングの特徴を正しく理解することが重要です。
今回は、ホワイトニングの主な種類について解説します。ホワイトニングのメリット・デメリット、費用相場についても解説しますので、ホワイトニングを検討されている方は、ぜひ参考にしてください。
ホワイトニングの種類

ホワイトニングにはいくつかの種類があり、歯科医院で行うものから自宅で手軽にできるものまでさまざまです。自分のライフスタイルやご予算、希望する歯の白さに応じて、適切な方法を選ぶことが大切です。
以下では、ホワイトニングの種類とそれぞれの特徴について詳しく解説します。
オフィスホワイトニング
歯科医院で専門の機器と薬剤を使って行うホワイトニング方法です。
高濃度のホワイトニング剤を使用し、専用のライトやレーザーを照射することで短時間で効果を得ることができます。1回の施術でも白さを実感できることが多いです。そのため、結婚式や面接などの大切なイベントの前に歯を白くしたいという方に選ばれています。
ただし、高濃度の薬剤を使用するため、人によっては歯がしみるなどの知覚過敏の症状が出る場合があります。また、効果は3か月〜半年ほど続くとされており、その後も定期的にメンテナンスを受けることが推奨されます。
費用は他の方法に比べてやや高めですが、即効性が高い点と専門家の施術による安心感が魅力といえるでしょう。
ホームホワイトニング
歯科医院で作成した専用のマウスピースと薬剤を使い、自宅で自分のペースで行うホワイトニング方法です。
薬剤の濃度はオフィスホワイトニングより低めですが、毎日1〜2時間の装着を数週間続けることで、自然で透明感のある白さを実現できます。白さが徐々に現れるため、周囲に気づかれにくく、ナチュラルな仕上がりを求める方に選ばれています。
この方法は自宅で好きな時間に行える手軽さが魅力で、仕事などで忙しく、なかなか歯科医院の受診できない方にも人気です。
一方で、毎日の継続が必要なため、根気強く続ける意志が求められます。また、効果が現れるまでに時間がかかるため、すぐに結果を求める人には不向きな場合もあります。オフィスホワイトニングに比べて費用はリーズナブルで、始めやすいのもメリットのひとつです。
デュアルホワイトニング
オフィスホワイトニングとホームホワイトニングを組み合わせた方法です。
歯科医院で即効性のある施術を受けたあと、自宅でのホームケアを継続することで、より高いホワイトニング効果と長持ちする白さが期待できます。両方のメリットを取り入れた方法として、美容意識の高い方々を中心に人気を集めています。
この方法の最大の特長は、即効性と持続性のバランスが優れている点にあります。短期間で白さを得たい人にも、自然な白さを長く保ちたい人にも対応できるのが魅力です。
ただし、その分コストはやや高くなる傾向にあり、時間と予算に余裕がある方に選ばれています。歯の状態や生活習慣に合わせて、歯科医師の指導のもとで進めることが推奨されます。
セルフホワイトニング
セルフホワイトニングは、専門のスタッフや医師による施術を受けず、自分自身で行うホワイトニング方法です。セルフホワイトニング専門店で行う方法や、自宅で市販のキットを使用して行う方法があり、近年では低価格で気軽に試せることから利用者が増えています。
使用される薬剤は過酸化水素を含まないことが多く、歯や歯茎への刺激が少ないのが特徴です。
一方で、効果の持続性や白さのレベルには限界があり、本格的な歯の白さを求める方にはやや物足りなさを感じる場合もあります。
ホワイトニングのメリット・デメリット

ホワイトニングは、見た目の美しさを高めるだけでなく、自信や清潔感を与える効果も期待できるため、近年では男女問わず多くの人に支持されています。
しかし、どのような施術にも共通して言えるように、ホワイトニングにも良い面と注意すべき点があります。期待できる効果ばかりに目を向けるのではなく、事前にメリットとデメリットを理解しておくことで、後悔のない選択が可能になります。
ここでは、ホワイトニングを受けることで得られる主なメリットと、注意すべきデメリットについて解説します。
ホワイトニングのメリット
ホワイトニングの大きなメリットは、歯が白くなることで見た目の印象が大きく変わる点です。
これによって、笑顔に自信が持てるようになり、対人関係や仕事、プライベートにおいても前向きな気持ちで過ごせるようになるでしょう。歯が白くなることで、若々しい印象になる効果も期待できます。
また、ホワイトニングで歯が白くなると歯のケアに対する意識が高まるというメリットもあります。これにより、虫歯や歯周病の予防につながる場合もあります。
特に営業職や接客業など人と接する機会が多い職種の方にとっては、印象アップの一環としてホワイトニングが有効です。
ホワイトニングのデメリット
ホワイトニングには多くのメリットがありますが、いくつかのデメリットも存在します。
まず代表的なのが、知覚過敏のリスクです。ホワイトニング剤の影響で歯の表面が一時的に刺激を受けやすくなり、冷たいものや熱いものがしみることがあります。これは一過性のものが多いですが、不安を感じる方には事前の相談が重要です。
また、ホワイトニングの効果は永久ではなく、時間の経過とともに色戻りする場合があります。特にコーヒーや赤ワイン、カレーなどの色素の濃い飲食物を頻繁に摂る方は、効果の持続期間が短くなることがあります。
さらに、保険が適用されない自由診療のため、方法によっては費用が高額になるケースもあり、費用対効果を慎重に見極める必要があります。
ホワイトニングの費用相場

ホワイトニングの費用は、選ぶ方法や通う施設によって大きく異なります。
例えば、歯科医院で行うオフィスホワイトニングは1回あたり2万円〜5万円程度が相場となっており、使用する薬剤の種類や照射機器などによって変動します。複数回の施術が必要な場合は、トータルで10万円を超えることもあります。
一方、ホームホワイトニングはマウスピース作成費と薬剤を合わせて2万円〜4万円程度が一般的です。自宅で繰り返し使えるため、長期的にはコストパフォーマンスに優れているといえます。
デュアルホワイトニングになると両方を併用するため、6万円〜10万円前後と高額になる傾向があります。
セルフホワイトニングはほかの方法に比べて安価で、1回あたり3,000円〜5,000円程度で行えるケースもあります。
市販のホワイトニンググッズも含めると、より低価格でのケアも可能ですが、効果や安全性には個人差があるため、価格だけで判断せず、信頼性や実績も考慮することが重要です。
ホワイトニングを選ぶ際の注意点

ホワイトニングの方法を検討する際には、いくつかの点を押さえておくことも大切です。
まず、自分の歯の状態を確認することが重要です。虫歯や歯周病がある場合は、ホワイトニングによって症状が悪化する可能性があります。施術によって痛みなどの症状が現れる可能性もあるため、事前に治療を受けることが推奨されます。
また、希望する白さによって、ご自身に合ったホワイトニングの方法が異なります。できるだけ早く歯を白くしたいのか、白さを長く保ちたいのかといった目的を明確にしておくことも大切です。
さらに、セルフホワイトニングや市販品には、効果が薄かったり、歯にダメージを与えたりするリスクがあるものもあるため、成分や実績、口コミなどを事前に確認して選びましょう。
ホワイトニング後のケアも忘れてはなりません。効果を持続させるためには、定期的にメンテナンスを受けること、着色しやすい飲食物を控えることなどの工夫が必要です。ホワイトニングは一度で終わりではなく美しさを維持するための習慣と捉えましょう。
まとめ

ホワイトニングは、美しい笑顔を手に入れるための効果的な手段として、多くの人に選ばれています。
オフィスホワイトニングやホームホワイトニングなど、いくつかの選択肢があるなかで、自分の目的やライフスタイル、予算に合った方法を見極めることが成功の鍵となります。
また、ホワイトニングには見た目の改善だけでなく、自信や生活の質を高める効果も期待できる一方で、知覚過敏や色戻りといった注意点も存在します。
正しい知識と理解をもって取り組めば、ホワイトニングは決して特別なものではなく、誰にでも取り入れられる美容習慣のひとつです。
歯科医師のアドバイスを参考にしながら、自分に合った方法で理想の白さを目指してみてはいかがでしょうか。
ホワイトニングを検討されている方は、仙台市宮城野区二十人町、JR「榴ケ岡駅」より徒歩6分、「仙台駅」東口より徒歩15分にある歯医者「仙台ファースト歯科」にお気軽にご相談ください。
当院では、各分野を専門とするドクターがチームを組んで治療をおこなっています。小さなお子様から仕事で忙しい方、さらにはご高齢の方まで、生活スタイルに合わせた無理のない治療を提供いたします。
当院のホームページはこちら、お問い合わせも受け付けておりますので、ご活用ください。
審美的調和が生み出す笑顔の力
2025年9月16日
みなさんこんにちは!
歯科医師の工藤です。
最近は暑さも落ち着いて過ごしやすい季節になってきましたね!
さっそくですが、初対面の人と会ったとき、ほんの数秒で相手の印象が決まるといわれています。やはり顔からうける印象というものは強く、その中でも特に「口元」は第一印象を良くするために大きな役割を果たします。アメリカでは「美しい歯並びと白い歯」が就職や人間関係にも影響すると考えられ、歯の美しさは清潔感や自己管理力の象徴として重視されているのです。そのため自信をもって笑える口元は日常生活からビジネスシーンまで広い範囲で自分を表現する武器になります。
しかし、口元の美しさをつくる要素は単純に「歯が白ければいい」というものではありません。歯の色や形、歯肉の状態やライン、さらには顔全体とのバランスまで含めて調和していることが、本当に自然で魅力的な笑顔を生み出す鍵となります。このブログでは、笑顔をより自然で美しく見せるために欠かせない”要素”について分かりやすくご紹介します。
1.歯の審美性の基本
歯が美しく見えるためには、いくつかの条件が整っている必要があります。まず大切なのが「色」です。歯はただ真っ白であればよいわけではありません。透明感や自然なツヤがあり、明度や彩度が肌の色や顔の雰囲気に調和していることが重要です。たとえば、色白の方に合う白さと、日焼けした肌に合う白さは異なります。歯の色調は人それぞれの個性を引き立てながら自然に見えるものがより良いとされます。
次に「形態」です。歯の形は隣接する歯と調和していることが基本です。同じ前歯でも、角張った形のほうが調和しやすい人もいれば、丸みを帯びた形がしっくりくる人もいます。一般的に男性は直線的で力強い印象を与える歯が似合い、女性は柔らかいカーブを持つ歯が自然に見える傾向があります。また、年齢によっても歯の形の印象は変わるため、その人のライフステージに合わせたデザインも大切です。
歯の美しさを考える上で欠かせないのが「配列」です。整った歯並びは清潔感を生み、相手に安心感を与えます。ただし、完全に均一でなくても、軽度の個性はその人らしさとして魅力になることもあります。しかし、大きな乱れやねじれは不自然さを感じさせ、不潔な印象につながるため注意が必要です。
さらに、歯の「比率」も重要です。たとえば上顎の中切歯(前歯)は、縦と横の比率が約1.25~1.3であると最も自然で美しく見えるとされています。このように、歯の色、形、配列、比率といった要素が総合的に整うことで、初めて歯は審美的に美しく見えるのです。
2.歯肉の審美性 ― 見落とされがちな美の鍵
歯の美しさを引き立てるもう一つの重要な要素が「歯肉」です。歯肉は歯を囲む額縁のような存在であり、どんなに美しい歯であっても、額縁が乱れていてはその魅力は半減してしまいます。
健康的な歯肉は淡いピンク色をしており、引き締まって弾力があります。歯を支えるラインは左右で対称的でなめらかであり、歯と歯の間には歯間乳頭と呼ばれる部分がしっかり存在していることが理想です。もしここに隙間ができてしまうと「ブラックトライアングル」と呼ばれる黒い三角形が現れ、不健康な印象を与えてしまいます。
また、歯肉ラインの美しさには黄金比があります。一般的に中切歯と犬歯の歯肉ラインは同じ高さにそろい、側切歯のラインはそれよりもわずかに低くなると、アーチを描いたように自然で美しいラインになります。このラインが崩れると、どんなに歯そのものが整っていても違和感のある笑顔になってしまいます。
歯肉に関する代表的な審美的悩みとして「ガミースマイル」があります。これは笑ったときに歯肉が過度に見える状態のことです。本人が気にしていなければ問題ありませんが、多くの人は笑うときに口元を手で隠すなどのコンプレックスを抱えています。ガミースマイルは歯肉整形や矯正治療、さらにはボトックス注射などによって改善することが可能です。
私自身もガミースマイルをコンプレックスに感じており、現在矯正治療で改善中です!
3.歯と顔貌の審美的関係
歯と歯肉が整っていても、それだけで「自然な美しさ」が得られるわけではありません。口元は顔の一部として見られるため、顔全体との調和が何よりも大切です。
笑顔になったとき、上の前歯の先端が下唇のカーブに沿って並んでいるのが理想とされています。これを「スマイルライン」と呼びます。スマイルラインが崩れると、笑顔がぎこちなく、不自然に見えてしまいます。
また、顔の中心を通る正中線と上顎中切歯の正中が一致していることも望ましいとされています。大きくずれると顔全体に違和感を与え、バランスが崩れて見えることがあります。
さらに、顔型と歯の形との調和も重要です。丸顔の方は丸みを帯びた歯が似合い、面長の方には縦長の歯が調和しやすいとされています。男性には直線的で力強い歯が、女性には柔らかくカーブを持つ歯が自然に見える傾向があります。
唇との関係も見逃せません。唇の厚みや形状は歯の見え方に大きな影響を及ぼします。厚い唇を持つ方はやや大きめの歯でも自然に見えますが、薄い唇の場合は繊細なデザインの歯の方が調和しやすいのです。
4.年齢とともに変化する歯と顔貌の関係
加齢は歯や歯肉の見え方に少しずつ影響を与えていきます。たとえば歯肉が下がると歯が長く見えるようになり、上唇が下がることで上顎前歯の露出が減ってしまいます。その結果、下顎前歯が目立ちやすくなり、老けた印象につながることがあります。
さらに咬合高径と呼ばれる上下の歯のかみ合わせの高さが失われると、下顔面が短くなり、ほうれい線やしわ、たるみが目立つようになります。こうした変化は避けられないものですが、審美歯科ではそれらを考慮しながら治療を行うことで「若々しい笑顔」を再現することが可能です。
5.審美的調和を実現する治療アプローチ
審美的な調和をつくるためには、いくつかの治療法があります。
まず代表的なのがホワイトニングです。歯を自然な白さにすることで笑顔は一気に明るい印象になります。重要なのは、単に白くするのではなく、肌の色や顔の雰囲気に合わせて自然な色調を選択することです
。
次に歯肉整形があります。レーザーや外科的な処置を用いて歯肉ラインを整えることで、ガミースマイルや不揃いなラインを改善できます。これにより、歯と歯肉の調和がとれた口元を実現できます。
矯正治療も大切です。歯並びを整えるだけでなく、顔貌やスマイルラインとのバランスを考慮しながら治療を進めることで、より自然で美しい仕上がりになります。近年ではマウスピース型矯正装置(インビザラインなど)も普及しており、目立たずに治療を行うことが可能です。
補綴治療では、セラミックを用いて歯の色や形、比率をデザインし直すことができます。単に歯を作り変えるのではなく、顔貌全体との調和を意識した補綴治療は、若返り効果や口元のボリューム改善にもつながります。
6.審美的調和がもたらす心理的効果
美しい歯と顔貌の調和は、単なる見た目の美しさにとどまりません。自分の笑顔に自信を持てるようになることで、会話やコミュニケーションがスムーズになり、人間関係がより豊かになります。また、若々しく健康的な印象を与えるため、ビジネスやプライベートにおいても大きなメリットがあります。
さらに、笑顔に自信を持てるようになることは自己肯定感の向上にもつながります。審美歯科は外見を整える医療であると同時に、患者さんの心の在り方や生き方を前向きに変えていく力を持っているのです。
7.まとめ
歯の美しさは、歯そのものだけでなく歯肉との調和、そして顔貌全体とのバランスによって決まります。歯の色や形、配列、比率が整い、健康的な歯肉が自然なラインを描き、スマイルラインや正中線が顔全体と調和しているとき、笑顔は最も美しく見えます。
ただここまで美しさの基準を説明してきましたが、実際は個々人が感じる美しさが違う場合もあります。私たち歯科医師は基準を明確にしながらも患者さん一人ひとりの願望に寄り添い、自然で自信のある笑顔をデザインすることこそが本質です。
そして当院の方針としては美しさと機能を備えた治療を第一に考えています。実は美しさを求めると自然と歯の寿命を伸ばすことにもつながるのです。
機能の面まで説明するともっと話が長くなってしまうので、それはまた次の機会に!
ではまたお会いしましょう!
咬合再構成とは?原因・症状・治療法と費用まで徹底解説
2025年9月11日
こんにちは。仙台市宮城野区二十人町、JR「榴ケ岡駅」より徒歩6分、「仙台駅」東口より徒歩15分にある歯医者「仙台ファースト歯科」です。

「噛み合わせが悪いと感じる」「歯並びや顎の違和感で食事や会話がしづらい」とお悩みの方は少なくないのではないでしょうか。
噛み合わせの問題を放置すると、むし歯や歯周病だけでなく、顎関節症や全身の健康にも影響を及ぼすことがあるため、早期の対応が重要です。
この記事では、咬合再構成とは何か、咬合(噛み合わせ)の基礎知識、そして近年咬合再構成が注目される背景について詳しく解説します。
噛み合わせのトラブルを根本から改善したい方や、治療法を検討している方はぜひ参考にしてください。
咬合再構成とは

咬合再構成とは、歯や顎の位置、噛み合わせのバランスを総合的に見直し、適切な機能と健康的な状態を取り戻すための歯科治療のことです。
さまざまな原因で本来の咬合が崩れてしまった場合、咬合再構成を行うことで口腔内のバランスや顎関節への負担を調整します。そして口腔内の問題を根本から解決することが目的です。
咬合再構成では、被せ物や入れ歯で歯を補ったり矯正治療などを組み合わせて治療を行います。
咬合(噛み合わせ)について
正常な咬合は、上下の歯が過不足なく正しく接触し、食べ物をしっかり噛み砕くことができる状態を指します。
良い噛み合わせは、食事や会話を快適に行えるだけでなく、顎関節や筋肉への負担を減らし、歯や歯周組織の健康を守る役割も持っています。
噛み合わせが乱れると、顎の痛みや頭痛、歯のすり減り、さらには全身の不調につながることもあるため、咬合のバランスはとても重要です。
咬合再構成が注目される背景
現代では、高齢化や生活習慣の多様化により、歯の喪失や噛み合わせのトラブルが増加しています。
また、審美的な観点やQOL(生活の質)向上への関心も高まっており、部分的な治療だけでなく、全体的な口腔機能の回復を目指す咬合再構成が注目されています。
適切な咬合再構成を行うことで、しっかり噛める状態が長く保たれ、より長期間食事や会話をより快適に楽しめるようになることが期待できます。
咬合再構成が必要となる主な原因

咬合再構成が必要となる主な原因について、どのような背景があるのかを具体的に解説します。
歯の欠損や摩耗による咬合崩壊
歯が抜けたまま放置したり、長年の使用で歯がすり減ると、上下の歯のかみ合わせが崩れることがあります。これにより、嚙み合わせのバランスが乱れ、残っている歯や顎関節に負担がかかる場合があります。
正しい噛み合わせができなくなることを咬合崩壊と言い、咬合崩壊が進行すると食事や発音に支障をきたすこともあるため、早めの対応が大切です。
歯周病や虫歯による影響
歯周病や重度の虫歯は、歯を支える骨や歯そのものを失う原因となります。
歯が動いたり抜けたりすると、咬み合わせが変化し、全体のバランスが崩れることがあります。このような場合、咬合再構成が必要になることがあります。
不適切な被せ物や入れ歯の影響
被せ物や入れ歯が合っていないと、噛み合わせにズレが起きることがあります。このズレが続くと、周囲の歯や顎にしわ寄せが行き悪影響を及ぼす可能性があります。
そのため被せ物や入れ歯自体にも適切な調整や、再作製が必要になる場合があります。
生活習慣や癖(食いしばり・歯ぎしり)
無意識に行っていることも多い食いしばりや歯ぎしりの癖は、歯や顎に大きな負担をかけます。これが続くと歯の摩耗や歯列の乱れを引き起こし、咬合のバランスが崩れることがあります。
咬合再構成が必要な人に現れる症状

咬合再構成が必要とされる方には、噛み合わせや顎、全身にさまざまな症状が現れることがあります。ここでは、主な症状について詳しく解説します。
噛み合わせの違和感や痛み
咬合のバランスが崩れると、食事や会話の際に噛み合わせがしっくりこない、歯が当たる場所が変わったと感じることがあります。
また、噛むときに歯や歯ぐきに痛みや圧迫感が生じる場合も見られます。こうした違和感や痛みは、放置しても良くなることはほとんどありません。
悪化すると日常生活に影響を及ぼすこともあるため注意が必要です。
顎関節症や顎の痛み・音
嚙み合わせがズレることにより顎の関節に負担がかかると、口を開け閉めする際にカクカクと音がしたり、顎の痛みや動かしにくさを感じることがあります。
これらは顎関節症の一症状であり、放置すると症状が悪化する可能性もあるため、早めの相談が肝心です。
歯並びや顔の歪み
噛み合わせのズレが続くと、歯並びが変化したり、顔の左右差が目立つようになることがあります。特に長期間放置した場合、顔の輪郭や表情にも影響が及ぶことがあるため、注意深く観察することが大切です。
食事や発音への影響
噛み合わせの問題は、食べ物をうまく噛み切れない、飲み込みにくいといった食事の不便さや、発音が不明瞭になるなどの影響を及ぼすことがあります。これにより、食事や会話がストレスに感じられることもあります。
全身症状(肩こり・頭痛など)
噛み合わせの乱れは、顎や首、肩の筋肉に負担をかけることがあり、肩こりや頭痛、首の痛みなど全身の不調につながる場合があります。これらの症状が続く場合は、噛み合わせが原因になっていることも考えられます。
咬合再構成の検査と診断方法

咬合再構成を行う際には、適切な検査と診断が非常に重要です。ここでは、主な検査方法について詳しく解説します。
咬合分析と診断
まずは検査を行い、噛み合わせのズレとなっている原因を探します。
さまざまな検査をもとに上下の歯のかみ合わせや歯列のバランス、歯の位置関係や咬合のズレなどを詳細に分析して、必要な治療範囲を客観的に把握します。
レントゲン・CTによる評価
レントゲンやCT撮影は、歯や顎の骨の状態、歯根や骨の厚み、顎関節の形態などを三次元的に確認するために活用されます。これにより、表面からは分かりにくい骨や歯の内部の状態まで評価でき、より精度の高い治療計画の作成に役立ちます。
顎関節や筋肉の機能検査
咬合再構成では、顎関節や咀嚼筋の動きや痛みの有無も重要な診断ポイントです。開口量や顎の動き、筋肉の緊張度を調べることで、顎関節症や筋肉の不調がないかを確認します。
石膏模型や咬合器の活用
患者さんの歯型を採取し、石膏模型を作成して実際の動きを確認します。咬合器は、患者さんの顎の動きを再現する装置で、模型を装着して咬合状態を詳細にシミュレーションします。
咬合再構成の治療方法と流れ

咬合再構成の治療方法と流れについて、どのような手順で進められるのかを具体的に解説します。
治療計画の立て方と説明
咬合再構成では、まず患者さんの口腔内の状態をしっかりと検査し、咬み合わせの問題点や歯の欠損状況を把握します。
そのうえで、患者さんのご希望や生活背景も考慮しながら、治療のゴールや治療手順を丁寧に説明します。
治療に伴うリスクや予想される変化についても事前に十分な説明を行い、ご納得いただいたうえで治療を開始します。
治療開始
咬合再構成のためにはいくつかの治療方法があります。以下で解説します。
補綴治療(被せ物・ブリッジ・インプラント)
噛み合わせがズレている原因が、歯そのものに異常がある場合は治療します。
被せ物に異常がある場合は古いものを取り除き、新たに作成した被せ物を使用します。歯が抜けたり欠けている場合にはブリッジ、インプラントなどの補綴治療を行います。患者さんごとに適した補綴方法を選択し、機能性と審美性の両立を目指します。
矯正治療の併用が必要なケース
歯列や顎の位置に大きなズレがある場合、補綴治療だけで終わりではなく矯正治療を併用することもあります。矯正治療を並行して行うことで、より安定した咬み合わせを目指します。悪習慣が原因の場合は、専用のマウスピースやトレーニングなどを行い改善を
行います。
治療期間の目安と通院回数
咬合再構成は複数の工程を経るため、治療期間は半年から1年以上かかることもあります。通院回数や期間は個々の症例によって異なるため、事前に担当医とよく相談することが大切です。
また、治療後にメンテナンスが必要な場合も多いため、気になる方は相談しても良いでしょう。
咬合再構成の治療費と保険適用

咬合再構成の治療費や保険適用について、費用の目安や注意点を具体的に解説します。
治療費の相場と内訳
咬合再構成の治療費は、治療の内容や使用する材料、通院回数などによって大きく異なります。基本的には診断料、仮歯や仮義歯の作製費、最終的な補綴物(被せ物や入れ歯)などの費用が必要になります。
矯正治療を行う場合には数十万円から百万円を超える場合もあります。
また、治療に必要な検査や調整のための費用が別途かかることもあります。治療計画によって費用の総額が変動するため、事前に見積もりを確認することが大切です。
保険適用の可否と条件
咬合再構成は、保険診療の範囲外となることが多い治療です。
ただし、重度の咬合崩壊や顎関節症など、機能回復を目的とした場合などは、一部保険適用となるケースもあります。
保険が適用されるかどうかは、症状や治療目的、医療機関の判断によって異なりますので、事前に担当医に相談し、適用条件や必要な手続きを確認することが重要です。
自費診療の場合の注意点
自費診療で咬合再構成を受ける場合、治療内容や費用、治療期間などについて十分な説明を受け、納得したうえで治療を始めることが大切です。
医療機関によって費用設定や治療方針が異なるため、納得がいくまで複数の歯科医院で相談やセカンドオピニオンを受けることも検討しましょう。
治療後のメンテナンス費用やアフターケアについても事前に確認しておくと安心です。
咬合再構成治療後の注意点とメンテナンス

咬合再構成治療後は、治療効果を長く維持し快適な口腔環境を保つために、日常生活での注意や定期的なメンテナンスが重要です。
治療後のセルフケアと定期検診
治療後は、歯磨きやデンタルフロスなどを使った丁寧なセルフケアが不可欠です。歯科衛生士の指導を受けて正しい方法を身につけましょう。
また、咬合状態の変化や補綴物の状態を確認するため、歯科医院での定期検診も欠かせません。
再発予防のための生活習慣改善
咬合再構成後の安定を保つには、食事の際によく噛むことや、硬すぎる食べ物を避けるなど、咬合に負担をかけない工夫も大切です。
さらに、歯ぎしりや食いしばりといった習慣がある場合は、マウスピースの使用やストレス管理などの対策を検討しましょう。
治療後に起こりやすいトラブルと対処法
治療後は一時的な違和感や噛み合わせのズレを感じることがあります。
痛みや補綴物の外れるなどのトラブルが起きた場合は、自己判断せず早めに歯科医師へ相談してください。症状が軽度でも、放置せず適切な対応を受けることが再発予防につながります。
まとめ

咬合再構成は、噛み合わせのバランスが崩れた場合に、歯や顎の機能を回復させるための治療です。噛み合わせが崩れる主な原因には、歯の欠損や摩耗などが挙げられ、顎の痛みや噛みにくさなどの症状が現れることがあります。
治療では、精密な検査や診断を行って原因を特定させた後、補綴物や矯正など個々の状態に合わせた方法を選びます。
費用は治療内容や保険適用の有無によって異なり、治療後は定期的なメンテナンスが重要です。納得のいく治療を受けられるように、歯科医師とよく相談することが大切です。
咬合再構成を検討されている方は、仙台市宮城野区二十人町、JR「榴ケ岡駅」より徒歩6分、「仙台駅」東口より徒歩15分にある歯医者「仙台ファースト歯科」にお気軽にご相談ください。
当院では、各分野を専門とするドクターがチームを組んで治療をおこなっています。小さなお子様から仕事で忙しい方、さらにはご高齢の方まで、生活スタイルに合わせた無理のない治療を提供いたします。
当院のホームページはこちら、お問い合わせも受け付けておりますので、ご活用ください。
歯科と食育の関わりについて
2025年9月10日
こんにちは
歯科衛生士の泉谷です
9月1週目に長期連休をいただきゆっくり休むことができました
また気持ちを一新して仕事に向き合いたいと思います!
今日のブログの内容は前回の妊娠中のお話から少しだけ内容が変わり成長期・青人期・高齢期
に対しての内容になります
題名は食育と歯科のかかわりについてです。
みなさん食育という言葉はご存知ですか?
近年、「食育」という言葉が広く知られるようになりました。
食育とは、健全な食生活を送るために必要な知識や能力を育てる教育活動であり、すべての世代にとって重要なテーマです。
特に子どもたちに対する食育は、生涯にわたる健康の土台を築く上で不可欠です。
また歯科医療の現場においても、口腔の健康と食生活は切っても切り離せない関係にあります。虫歯や歯周病といった疾患の予防だけでなく、よく噛むこと、味覚の発達、栄養摂取の質など、食と歯科は相互に深く影響を与え合っています。
今日は、食育と歯科の関係性に焦点を当て、両者が協力して健康づくりに果たす役割を考察します。
- 食育とは
食育基本法(2005年施行)では、食育を「生きる上での基本であって、知育・徳育・体育の基礎となるべきもの」と位置づけています。食に関する知識と食を選択する力を身に付け、健全な食生活を実践できる人間を育てることが目的です。
具体的な内容として:
- 栄養バランスの取れた食事の理解
- 食材や調理法への関心
- 地産地消や食文化の理解
- 食事のマナーや共食の重要性
- 噛むこと・味わうことの意義
これらの項目は、単なる栄養指導を超え、心身の成長、社会性、さらには環境問題にも関わる幅広い教育活動です。
- 歯科と食育のかかわり
歯科医療の観点から見た食育は、「噛む」「飲み込む」「味わう」といった口腔機能の発達や維持と密接に関連しています。歯が健康でなければ、いかに栄養バランスのよい食事を心がけても、その効果が発揮されないことがあります。
(1) 咀嚼と栄養吸収
しっかりと咀嚼することで、唾液の分泌が促進され、消化吸収がスムーズになります。また、噛むことで脳が活性化され、満腹中枢が刺激されるため、過食防止にもつながります。特に子どもの頃から「よく噛む習慣」を育てることは、将来的な肥満予防にも効果があります。
(2) 口腔機能の発達と食形態
離乳期の赤ちゃんには、口腔機能の発達に合わせた適切な食形態の提供が重要です。歯の生え方、顎の成長、舌の動きなどを観察しながら、ステップを踏んで離乳を進めることが求められます。これには専門職のアドバイスが不可欠です。
(3) 虫歯予防と食習慣
甘味飲料やお菓子の摂取頻度が高い子どもほど、虫歯のリスクは高まります。食育では、間食のとり方や飲料の選択についても教えることで、虫歯予防につながります。また、食後の歯みがきの習慣化も重要なテーマです。
- ライフステージ別のアプローチ
(1) 乳幼児期
この時期は、「食べることの楽しさ」と「基本的な生活習慣」を身につける大切な時期です。歯科の視点からは、乳歯の萌出状況や咬合の確認、授乳・離乳の方法、指しゃぶりや口呼吸などの生活習慣も含めて総合的に支援します。保護者に対する食育支援も重要です。
(2) 学童期・思春期
成長期におけるエネルギー・栄養の必要量が高まるこの時期は、バランスのとれた食事の理解と実践が必要です。同時に、嗜好の偏りや食への無関心も生じやすくなります。歯科医療従事者は、口腔内の定期健診を通じて、食習慣や歯磨き習慣の指導を行うことができます。
(3) 成人期
この時期は生活習慣病の予防が中心となります。糖尿病や高血圧といった疾患と口腔の健康(特に歯周病)との関連も強く、歯科医院での栄養指導が有効です。また、ストレスや不規則な生活による食習慣の乱れにも注意が必要です。
(4) 高齢期
高齢者では、噛む力や飲み込む力の低下が食生活に大きく影響します。歯を失っている場合、義歯の調整や口腔ケアを通じて、食べる楽しみを維持することが重要です。低栄養や誤嚥性肺炎の予防には、歯科からのアプローチが欠かせません。
- 歯科医療従事者の役割と多職種連携
食育を推進する上で、歯科医師・歯科衛生士などの歯科医療従事者の役割は非常に大きく、以下のような活動が期待されます。
- 学校や保育園での食育指導や講話
- フッ化物塗布・シーラントなど予防処置とあわせた食事指導
- 地域保健活動との連携(保健所、栄養士、保育士、医師など)
- 摂食嚥下障害への対応と栄養士との連携
歯科からの情報提供や助言により、食育の効果をより実践的かつ継続的なものにすることが可能となります。
最後に食育は、口から始まる「生きる力」を育てる重要な取り組みです。そして、その入り口である「口腔」の健康を守る歯科医療は、食育における要とも言えます。今後も歯科と食育が一体となり、すべての世代における健康寿命の延伸に寄与することが
求められています。
個人的にブログを書きながら食育に関して関心があまりなかったのですが書きながら歯科衛生士としても大事ですが個人的に食育って大事だなと改めて考えさせらせました。
勉強や仕事が忙しいと栄養のバランスを意識しての食事は難しいと思いますが今後ことを考えて少し栄養を考えた食事をしたいと思います。
入れ歯からインプラントへ切り替えは可能?メリット・デメリットと費用・期間を徹底解説
2025年9月4日
こんにちは。仙台市宮城野区二十人町、JR「榴ケ岡駅」より徒歩6分、「仙台駅」東口より徒歩15分にある歯医者「仙台ファースト歯科」です。

今お使いの入れ歯に、「ずれて痛い」「しっかり噛めない」「手入れが面倒」といった不満はありませんか。そんなお悩みから、インプラント治療への切り替えを考えている方も多いかもしれません。
インプラントは、自分の歯のように噛めるなど多くのメリットが期待できる一方、外科手術が必要であったり、費用が高額になるなどの注意点もあります。両方の治療法を正しく理解し、ご自身にとって本当に良い選択かを見極めることが大切です。
この記事では、入れ歯からインプラントに変えるメリットとデメリット、治療の流れや費用について詳しく解説します。後悔しないためのポイントもご紹介しますので、ぜひ参考にしてください。
入れ歯からインプラントへの切り替えを考える理由

入れ歯からインプラントへの切り替えを考える理由について、主に入れ歯の悩みやインプラントを検討するきっかけを中心に解説します。
入れ歯の不満や悩み
入れ歯を使用している方の中には、装着時の違和感や痛み、食事や会話がしにくいといった悩みを抱える方が多くいらっしゃいます。
また、入れ歯が外れやすい、しっかり噛めない、食べ物の味や温度が感じにくいといった日常生活への影響もよく聞かれます。さらに、入れ歯の手入れや定期的な調整の手間、見た目に対する不安など、精神的な負担を感じる方も少なくありません。
これらの理由から、より快適で自然な噛み心地を求めて、他の治療法を検討されるケースが増えています。
インプラントを検討するきっかけ
インプラントを検討するきっかけとしては、入れ歯による不便さの解消を望むことが挙げられます。例えば、しっかりと固定されることで食事や会話がしやすくなる可能性や、見た目が自然であることに魅力を感じる方が多いようです。
また、入れ歯に比べてメンテナンスがしやすいと感じる方や、周囲の歯に負担をかけずに済む点を評価する声もあります。
ただし、インプラント治療には適応条件やリスクも伴うため、専門の歯科医師と十分に相談し、ご自身の状態や希望に合った治療法を選択することが大切です。
入れ歯とインプラントの違いを知る

入れ歯とインプラントは、歯を失った際の代表的な治療法ですが、それぞれの特徴や違いを理解することは、ご自身に合った治療法を選択するうえで大切です。
入れ歯とは
入れ歯は、歯を失った部分に人工の歯を装着し、噛む機能や見た目を補う治療法です。
部分入れ歯と総入れ歯の2種類があり、部分入れ歯は一部の歯を失った場合に、残っている歯に金属のバネなどで固定します。
総入れ歯はすべての歯を失った場合に、歯ぐき全体に合わせて作製されます。取り外しが可能で、比較的短期間で作製できる点が特徴ですが、装着感や噛み心地に違和感を感じる場合もあります。
インプラントとは
インプラント治療は、顎の骨に人工歯根(インプラント体)を埋め込み、その上に人工の歯を装着する方法です。
ご自身の歯に近い噛み心地や見た目が期待できますが、外科的な手術が必要となり、治療期間も比較的長くなります。
また、顎の骨の状態や全身の健康状態によっては適応できない場合もあります。
ブリッジとの比較
ブリッジは、失った歯の両隣の歯を削って土台とし、その上に連結した人工歯を被せる治療法です。固定式で違和感が少ない一方、健康な歯を削る必要がある点がデメリットです。入れ歯やインプラントと比較し、患者様の口腔内の状態や希望に応じて選択されます。
入れ歯からインプラントに変えるメリット

入れ歯からインプラントへ移行することで得られる主なメリットについて、具体的な視点から分かりやすく解説します。
噛み心地や安定感の向上
インプラントは顎の骨にしっかりと固定されるため、入れ歯に比べて噛む力が伝わりやすくなります。
これにより、食事中に入れ歯がずれたり外れたりする心配が少なくなり、硬いものや粘り気のあるものも比較的しっかり噛めると感じる方が多いです。食事の楽しみが増すことで、食生活の幅が広がる可能性もあります。
見た目の自然さ
インプラントは天然歯に近い色や形状で作られるため、見た目が自然に仕上がりやすい傾向があります。
歯ぐきとの境目も目立ちにくく、口元に自信を持ちやすくなる点が特徴です。特に前歯など目立つ部分の治療を検討している方にとって、自然な見た目は大きな安心材料となるでしょう。
健康面への影響
インプラントは周囲の健康な歯を削る必要がなく、また顎の骨に刺激を与えることで骨の吸収を抑える働きが期待できます。
入れ歯の場合、長期間の使用で顎の骨が痩せてしまうことがありますが、インプラントではそのリスクを軽減できる可能性があります。
日常生活の快適さ
インプラントは取り外しの必要がなく、毎日のケアも通常の歯磨きで対応できます。入れ歯のような専用の洗浄や保管が不要なため、手間が減り、発音や会話も自然に行いやすくなる傾向があります。これにより、日常生活の質が向上することが期待されます。
入れ歯からインプラントに変えるデメリットと注意点

入れ歯からインプラントへ移行する際には、メリットだけでなくデメリットや注意点も十分に理解しておくことが大切です。
治療費や保険適用の有無
インプラント治療は、一般的に自費診療となるため、入れ歯と比べて治療費が高額になる傾向があります。
公的医療保険が適用されるケースは非常に限られており、費用面での負担が大きくなることが多いです。事前に治療費の総額や分割払いの可否などを歯科医院に確認しておくと安心です。
治療期間と通院回数
インプラント治療は、手術や骨との結合期間が必要なため、入れ歯よりも治療期間が長くなることがあります。一般的には数カ月から半年以上かかる場合もあり、通院回数も多くなります。
手術のリスクや体への負担
インプラントは外科的な手術を伴うため、体への負担や合併症のリスクがゼロではありません。糖尿病や心疾患などの持病がある場合や、骨の状態によっては治療が難しいこともあります。
事前に十分な健康チェックを受け、担当医とリスクについてよく話し合うことが重要です。
定期的なメンテナンスの必要性
インプラントは天然歯と同様に、定期的なメンテナンスが不可欠です。適切なケアを怠ると、インプラント周囲炎などのトラブルが起こる可能性があります。
治療後も歯科医院での定期検診やクリーニングを継続することが、長期的な安定につながります。
入れ歯からインプラントにする治療方法

入れ歯からインプラントへ移行する治療方法について、具体的な手順や注意点を詳しく解説します。
部分入れ歯からインプラントにする方法
部分入れ歯を使用している場合、まず現在の歯や歯ぐきの状態を歯科医師が詳しく診断します。必要に応じて部分入れ歯を外し、インプラントを埋入する位置や本数を決定します。インプラントは人工歯根をあごの骨に埋め込むため、十分な骨量が必要です。
治療の流れは、インプラント埋入手術、数ヶ月の治癒期間、そして人工歯(上部構造)の装着という順序です。
部分入れ歯からインプラントへの変更は、見た目や噛み心地の向上を目指す方に選択されることがあります。
総入れ歯からインプラントにする方法(オールオン4など)
総入れ歯からインプラントへの移行では、複数本のインプラントを用いて人工歯を固定する方法が一般的です。
特に「オールオン4」は、4本のインプラントで全ての人工歯を支える治療法として知られています。
骨の状態によっては、インプラントの本数や位置を調整する場合があります。総入れ歯に不安や不便を感じている方にとって、固定式のインプラントは安定性や快適性の向上が期待できる選択肢です。
骨や歯ぐきの状態による治療の違い
インプラント治療は、あごの骨や歯ぐきの状態によって適応や方法が異なります。骨が不足している場合は、骨造成や骨移植など追加の処置が必要になることがあります。
また、歯ぐきの健康状態も治療成否に大きく影響するため、事前の検査やメンテナンスが重要です。
治療の流れと必要な検査

入れ歯からインプラントへの治療を検討する際には、治療の流れや必要な検査について正しく理解することが大切です。
カウンセリングと診断
まず、歯科医院ではカウンセリングが行われ、現在の口腔内の状態や全身の健康状態、既往歴などを詳しく確認します。
その後、レントゲンやCT撮影などの画像検査を通じて、顎の骨の厚みや高さ、神経や血管の位置などを詳細に調べます。
これらの診断結果に基づき、インプラント治療が適しているかどうかを慎重に判断します。
治療計画の立て方
診断結果をもとに、患者様一人ひとりに合わせた治療計画を立てます。治療期間や手術の方法、必要な本数、費用、リスクや注意点などについて、分かりやすく説明されることが一般的です。
また、治療に伴うメリットとデメリットをしっかりと理解した上で、納得して治療を進めることが重要です。
手術から完成までのステップ
インプラント治療は、まず顎の骨に人工歯根を埋め込む手術から始まります。その後、骨とインプラントがしっかり結合するまで数ヶ月の治癒期間を設けます。
結合が確認できた段階で、人工の歯を装着して完成となります。治療後も定期的なメンテナンスや検診が必要であり、長期的に健康な状態を保つためのサポートが行われます。
入れ歯からインプラントに変える際によくある誤解

入れ歯からインプラントへの移行を検討する際、多くの方が誤解しやすいポイントについて詳しく解説します。
インプラントは誰でもできる?
インプラント治療は、すべての方に適しているわけではありません。顎の骨の量や質、全身の健康状態、糖尿病や心疾患などの持病の有無、喫煙習慣などが治療の可否に影響します。
また、骨が不足している場合は骨造成などの追加処置が必要になることもあります。治療を希望される場合は、まず歯科医師による十分な診査とカウンセリングを受けることが重要です。
痛みやダウンタイムの実際
インプラント手術は局所麻酔下で行われるため、手術中の痛みはほとんど感じません。術後は腫れや軽度の痛みが数日続くことがありますが、一般的には処方された鎮痛薬でコントロール可能です。
多くの場合、日常生活への大きな支障は数日以内に解消しますが、個人差があるため、術後の経過や注意点については事前に医師とよく相談しましょう。
インプラントの寿命や再治療の可能性
インプラントは適切なメンテナンスを行うことで長期間使用できるとされていますが、永久的に持続するわけではありません。
歯周病や噛み合わせの問題、不十分なセルフケアなどにより、インプラント周囲炎などのトラブルが生じることもあります。定期的な歯科受診と日々のケアが再治療のリスクを減らすために重要です。
入れ歯からインプラントにする場合の費用と期間の目安

入れ歯からインプラントへの治療を検討する際、多くの方が費用や治療期間について不安を感じることが多いため、ここではその目安やポイントについて詳しく解説します。
治療費の相場と内訳
インプラント治療の費用は、1本あたりおおよそ30万~50万円程度が一般的な相場とされています。
費用にはインプラント本体、手術費用、上部構造(人工歯)、検査や診断料などが含まれますが、骨の量が不足している場合は骨造成など追加の処置費用が発生することもあります。
入れ歯と比べると初期費用は高額ですが、長期的な耐久性やメンテナンス性も考慮する必要があります。
医療費控除の活用方法
インプラント治療は、医療費控除の対象となる場合があります。年間の医療費が一定額を超えると、確定申告を通じて所得税の一部が還付される可能性があります。
治療費の領収書や診療明細書は大切に保管し、控除を受ける際には医療機関や税務署の案内に従って手続きを行ってください。
治療期間の目安
インプラント治療にかかる期間は、一般的に3か月から半年程度が目安です。診断や事前準備、インプラント埋入手術、骨とインプラントの結合期間、最終的な人工歯の装着まで段階的に進められます。
骨の状態や全身の健康状態によっては期間が延びることもあるため、事前に担当医と十分に相談しましょう。
インプラント治療後のケアと長持ちさせるコツ

インプラント治療後は、適切なケアを行うことでインプラントを長持ちさせ、快適な口腔環境を維持することが大切です。
日常のセルフケア方法
インプラントを長く使うためには、毎日の歯磨きが重要です。天然歯と同様に、歯ブラシやデンタルフロス、歯間ブラシを使い、インプラント周囲の歯ぐきや歯の間にプラークが残らないよう丁寧に清掃しましょう。
特にインプラントの周囲は汚れがたまりやすいため、力を入れすぎず優しく磨くことがポイントです。
定期検診とプロによるメンテナンス
セルフケアだけでは落としきれない汚れや、インプラント周囲炎などのトラブルを早期発見するために、歯科医院での定期検診が欠かせません。
歯科医師や歯科衛生士による専用の器具を使ったクリーニングや、かみ合わせのチェックを受けることで、インプラントをより長く安定して使うことが期待できます。
トラブル時の対処法
インプラント部位に違和感や腫れ、痛みを感じた場合は、自己判断せず早めに歯科医院を受診しましょう。放置すると症状が悪化することもあるため、早期の対応が大切です。
また、インプラントがぐらつく、かぶせ物が外れるといったトラブルも、専門的な処置が必要となります。
自分に合った選択をするためのポイント

入れ歯からインプラントへの移行を検討する際には、ご自身に最適な治療法を選ぶためのポイントを理解することが大切です。
歯科医院選びの基準
信頼できる歯科医院を選ぶためには、インプラント治療の実績や専門性、設備の充実度を確認することが重要です。治療前のカウンセリングや説明が丁寧かどうか、衛生管理が徹底されているかも大きな判断材料となります。
また、治療後のアフターケア体制についても事前に確認しておくと安心です。
医師との相談で確認すべきこと
治療を受ける前には、ご自身の口腔内の状態や治療の流れ、費用、リスクについて医師と十分に相談しましょう。
特に、インプラントが適応できるかどうか、骨の状態や全身の健康状態なども含めて説明を受けることが大切です。
ライフスタイルや健康状態の考慮
インプラント治療は、日常生活や健康状態によって適応が異なる場合があります。例えば、持病がある方や喫煙習慣がある方は、治療の可否や注意点が異なることがあります。
また、日々のケアや定期的なメンテナンスが必要になるため、ご自身の生活リズムやセルフケアの継続が可能かどうかも考慮しましょう。
まとめ

入れ歯からインプラントへの切り替えを検討する人は、見た目や噛み心地の向上を期待することが多いようです。
入れ歯とインプラントには構造や使い心地、費用、治療期間などさまざまな違いがあり、それぞれにメリット・デメリットがあります。インプラントは安定性や自然な感覚が得られる一方、外科手術や費用面での負担、治療後のケアが必要です。
治療方法や流れ、誤解されやすい点も事前に確認し、自分の口腔状態やライフスタイルに合った選択をすることが大切です。
インプラント治療を検討されている方は、仙台市宮城野区二十人町、JR「榴ケ岡駅」より徒歩6分、「仙台駅」東口より徒歩15分にある歯医者「仙台ファースト歯科」にお気軽にご相談ください。
当院では、各分野を専門とするドクターがチームを組んで治療をおこなっています。小さなお子様から仕事で忙しい方、さらにはご高齢の方まで、生活スタイルに合わせた無理のない治療を提供いたします。
当院のホームページはこちら、お問い合わせも受け付けておりますので、ご活用ください。