機能的な美しい歯」をあなたへ

  • 圧倒的な実績
  • 機能的な美を求めた治療
  • バランスを大切にした究極の美を創る
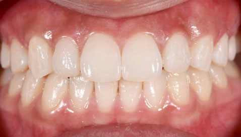
  • 治療前
  • 治療後

部分矯正とラミネートべニアよる審美治療の症例。
リスク副作用としては、治療後のメンテナス不足による歯周病の可能性。
歯ぎしりや過剰な噛みしめによるセラミックス破折の可能性があります。

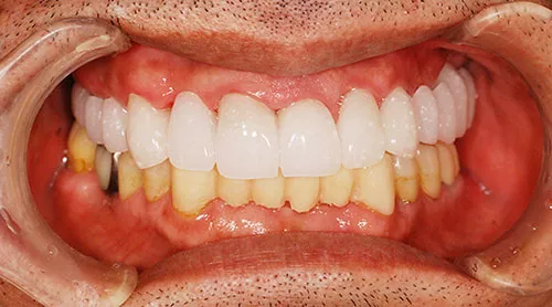
  • 治療前
  • 治療後

セラミッククラウン、ラミネートべニア、インプラント、根管治療、部分矯正を行った審美症例。
リスク副作用として、治療後の歯のメンテナンス不足による歯周病の可能性。
外科処置に伴い、施術直後に一時的に腫れが起こる可能性があります。

  • 治療前
  • 治療後

セラミッククラウン、ラミネートべニア、インプラント、根管治療を行った審美治療の症例。
リスク副作用として、治療後の歯のメンテナンス不足による歯周病の可能性。
歯ぎしりや過剰な噛みしめによるセラミックス破折の可能性があります。

美しいだけじゃない!機能面も優れた当院の「審美セラミック治療」

画像

見た目の美しさを求め、歯の審美治療を考える人も多いですが、歯本来の機能はやはり「噛む」ことです。歯は毎日食べる際に使うものですから、「よく噛める」ことはとても大切です。
だからと言って、「よく噛める」だけ、機能性が高いだけでも、よくありません。
歯はおしゃべりをしたり、笑ったりするとよく見える部分です。
それだけに顔の印象を決めるといっても過言ではない部分。見た目の美しさも、やはり大切です。
つまり、「よく噛める」上に「見た目も美しい」
そんな歯のことを、当院では「機能的な美」と呼んでいます。
機能的な美こそが、患者さんに初めてご満足いただける治療になるのではないかと考え、不自然ではない自然な見た目と、歯の機能回復を両立させることを目指しています。

当院の考える「究極の美」とは

前歯の審美治療では、白いセラミックの被せ物を使うことがあります。芸能人のような白い歯、綺麗な歯並びを手に入れたい方におすすめの治療です。その歯の美しさは、まさに「究極の美」。

しかし、この治療では確かに白く綺麗な歯並びなのですが、不自然に見えてしまうことがあります。

そこで当院では、唇、歯の形、歯並び、歯肉の形など全てのバランスを考えた審美治療を行っています。

究極の美の条件

当院が考える、究極の美の条件は、次のような条件です。

・唇と歯の関係・ゴールデンプロポーション

・正中線と歯並びのバランス

・生物学的幅径

美には「主観的な美」と「客観的な美」がありますが、誰から見ても美しいと思う「客観的な美」には上記のようなポイントがあります。

それぞれ具体的にご紹介します。

唇と歯の関係

画像

ニコッと笑顔になった際に、下唇と歯並びはどのような関係でしょうか。
下唇のアーチと、歯並びのアーチが一致する時、口元が美しく見えます。

ゴールデンプロポーション

画像

よく目立つ前歯の配列にはゴールデンプロポーション、つまり、黄金比があります。

それは「中切歯(1.618)」:「側切歯(1)」:「犬歯(0.618)」の配列。

この配列に近づけると、美しく見えます。

正中線と歯並びのバランス

画像

上の前歯の真ん中のラインを、「正中線」と言います。

この正中線が、お顔の真ん中のラインに合うと、口元が美しく、顔全体もバランスが整っているように見えます。

生物学的幅径

画像

生物学的幅径とは、歯肉の幅のこと。

歯肉も口元の印象を変える、重要な要素です。

歯肉の幅、形も自然に見えるよう、被せ物を調節するなどの治療を行うことがあります。

機能性も考慮した美しさ

見た目の美しさはもちろん大切ですが、それと同時に歯として機能的であることもとても大切です。
よく噛むことができ、長期的に歯の健康を維持できるよう、当院では機能性も考慮した治療を行っています。

噛み合わせを考えた治療

当院では審美治療だけに関わらず、すべての治療において「噛み合わせ」を考慮した治療に取り組んでいます。
噛み合わせが悪いと、頭痛やめまい、首・肩こりなどの体の不調につながりやすいからです。
また、何より食べ物がよく噛めないなど日常生活において支障が出ることもあります。
審美治療においても、被せ物によって噛み合わせが悪くなり、体調が悪くなったり、噛めなくなったりする方もいます。
さらには被せ物へ、過度な負荷が加わり、被せ物が破損してしまうことも。せっかく見た目は美しくなっても、不便な生活になってしまっては意味がありません。
そのため、当院では「噛み合わせ」を大切と考え、必ず噛み合わせに配慮した治療を行っています。

画像"

審美性を維持するための治療

審美治療を行い、美しい歯を手に入れたとしても、その後審美性が低下してしまうことがあります。
その主な原因は、虫歯や歯周病です。被せ物をする審美治療では、自身の歯を削り、そこへ被せ物を装着します。
すると、どうしても自身の歯と被せ物の間には、隙間ができやすいのです。
隙間から虫歯菌や歯周病菌が入り込んで、虫歯や歯周病にならないようにするには、
その隙間をできるだけ作らない治療をすることが大切です。

マイクロスコープを使った精密治療

当院では隙間を作らない治療を行うため、「マイクロスコープ」を使った精密治療を行っています。
マイクロスコープを使うと、ミクロン単位での治療が可能となります。
そのため隙間を最小限に抑えられるのです。

画像"

「美」にはイメージのすり合わせが大切

患者さんにご満足いただくためには、患者さんが考える「主観的な美」をいかに取り入れていくかも重要だと考えています。
上記のような客観的な美は、あくまで第三者からの視点です。
患者さん自身がイメージする美に近づけていけるよう、当院では「美の擦り合わせ」に力を入れています。治療前、治療中、治療最終段階には必ず、患者さんの希望を聞き、確認してから進めます。

「ワックスアップ」治療前の擦り合わせ

画像

治療前のイメージのすり合わせはとても大切です。どのような歯が理想であるのか、イメージしやすいように、「ろう」で完成後の状態を模型にしたものを作ります。
これを「ワックスアップ」と言います。
それを見て、違うと感じるところがあれば、修正しながら患者さんと医師のイメージのすり合わせを行います。

「プロビジョナルレストレーション」で最終段階での擦り合わせ

画像

治療の最終段階で、改めてイメージの擦り合わせを行います。この段階で擦り合わせたい部分は歯の色、形です。細かい調整を行い、イメージに近づけます。
この調整のことを「プロビジョナルレストレーション」と言います。
お互いにOKであれば、最終治療を行います。

歯科技工士との連携も大切

セラミックなどの被せ物を製作するのは、歯科医師ではありません。歯科医師が作った設計図を基に、歯科技工士が作成します。
歯科技工士の仕事は、実力や経験が大切な仕事ですが、それとともに歯科医師との連携がしっかりできているかがとても重要です。
精度の高い治療には、患者さん、歯科技工士さん、歯科医師の密なコミュニケーションが大切だからです。
そこで当院では院内に歯科技工ルームを設け、歯科技工士さんが来院時に使用できるようにしています。

画像"

満足のいく審美治療を行うために

画像

歯の美しさを求め、審美治療を行ったものの、

「自分の思っていたイメージと違った」
「不自然な美しさだ」

など、思い描いていた結果と違うことも、しばしばあります。美的感覚は人それぞれ違うからです。

そのような結果にならないようにするには、その歯科医院の「症例写真」を見せてもらってください。症例を見て、自分の想像していた美しさのものがあれば、その医院の医師の実力は確かであり、自分に合った審美治療を行ってくれる医院であると信じていいでしょう。

当院では、ご紹介したように必ずイメージの擦り合わせを何度も行います。まずはお気軽に、疑問やお悩みなどをご相談ください。相談したからといって、当院で治療をしなければならないことはなく、勧誘等もありません。他院のセカンドオピニオンとしても是非ご活用ください。

初診「個別」相談へのご案内

当院では、患者さんが抱えていらっしゃるお口のお悩みや疑問・不安などにお応えする機会を設けております。どんなことでも構いませんので、私たちにお話ししていただけたらと思います。
ご興味がある方は下記からお問い合わせください。

医療法人新瑛会 仙台ファースト歯科

榴ヶ岡駅より徒歩6

ご予約・お問い合わせ
電話番号022-794-8810