2,000症例以上の実績あり
その実績と安全性、
そして、審美性の高いインプラントに自信があります
- 「切らない/縫わない/腫れない」インプラント
- 「手術当日」に噛めるインプラント
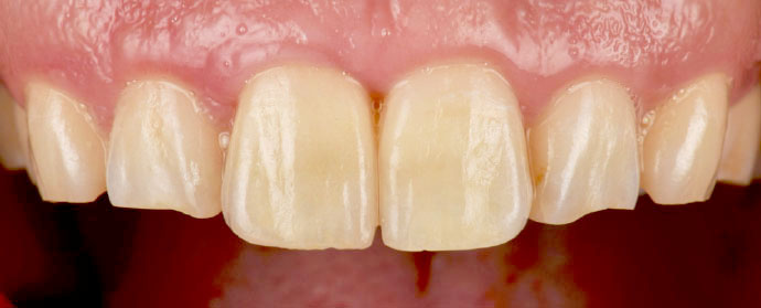
審美インプラントを行った症例。治療後のメンテナンス不足による歯周病の可能性。
外科処置後の局所の腫れが起こる可能性あり。
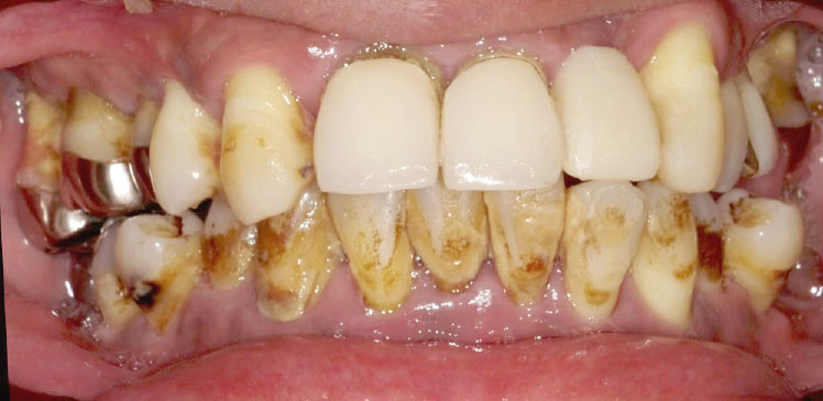
審美インプラントを行った症例。治療後のメンテナンス不足による歯周病の可能性。
外科処置後の局所の腫れが起こる可能性あり。
審美インプラントを行った症例。治療後のメンテナンス不足による歯周病の可能性。
外科処置後の局所の腫れが起こる可能性あり。

インプラント担当医のご紹介
インプラント治療は主に理事長村上が担当いたします。
多数の実績がありますので、安心してお任せいただければと思います。
経歴
| 2007 |
岩手医科大学卒業 |
| 2008 |
岩手医科大学にて臨床研修修了 |
| 2009 |
横浜市大型医療法人にて勤務 |
| 2012 |
補綴診療主任 |
資格・所属学会・団体
- 日本国際インプラント学会
- 顎顔面インプラント学会
- 臨床額咬合学会
スタディグループ
不安や痛みに配慮した「インプラント治療」
インプラント治療に対して「外科手術が怖い」「痛そう」「治療期間が長い」といったイメージがある人も多いと思います。
しかし、歯科治療の技術が日々進歩していて、現在では「睡眠無痛治療」「フラップレス(無切開)治療」「即時抜歯荷重」といった、できるだけ患者さんに負担をかけない方法があります。もちろん、当院では全ての治療に対応しています。
痛み/外科治療が苦手な方へ
「痛みが苦手だけど、入れ歯は嫌だ」
「外科治療が怖いけど、他の歯を削るのは嫌だ」
などというように、本当はインプラントがしたいけれど
痛みや外科治療に対する恐怖心から、治療に一歩
踏み込めない方もいるでしょう。
不安や怖い気持ちが強い方には「静脈内鎮静法」がおすすめです。
医科で使われる全身麻酔は意識がなく、自発呼吸が
できないため身体への負担が大きいです。
一方で、静脈内鎮静法は、半分眠ったような状態で
呼吸もでき、日帰りで済みます。
静脈内鎮静法は鎮痛剤を点滴で投与し、リラックスした状態を
作り出すため、治療に対する不安や恐怖心を感じずに治療ができます。
治療を受けている間は、眠っているような感覚になり「気づいた時には治療が終わっていた」「あっという間に終わった」と感激する患者さんが多いです。
また静脈内鎮静法には痛かった、辛かった記憶を残さない効果があるため安心して治療を受けてもらえます。
なお、当院の静脈内鎮静法は、麻酔を専門としている歯科医師が麻酔や全身を管理しながら治療を行いますので、その点もご安心ください。
※自費診療となります
低侵襲性インプラント治療
インプラント治療の「痛み」「腫れ」が心配な方も多いと思います。
そもそも、身体へのストレスが大きいほど痛みや腫れるといった症状が出やすい傾向があります。
インプラント治療で歯茎を大きく切ったり、
顎の骨を削りすぎたりすると細胞が傷を治そうとする
エネルギーを多く使うため、痛みや腫れる症状が
大きく出るのです。
患者さんの負担を減らすために当院は
「フラップレス(無切開)治療」を取り入れています。
インプラント治療では、歯茎を切開してインプラントを
入れる位置を決めていく方法が一般的です。
しかしフラップレス治療では、歯茎に小さい穴を開けて
インプラントを入れるため、歯茎をほとんど切らない治療が可能です。
最小限の施術で済み、出血が少なく腫れる心配もほとんどありません。
また、歯茎を切ったり縫ったりする時間も必要なくなり、手術時間も従来の半分程度。
患者さんの身体的・精神的負担を軽減できる治療法です。
「従来のインプラント治療」と「フラップレス」の違い
今までのインプラント治療とフラップレスでは下記のような違いがあります。
|
|
従来のインプラント治療
|
フラップレス
|
|
歯茎の切開
|
必要
|
不要
|
|
歯茎の縫合
|
必要
|
不要
|
|
痛み
|
出やすい
|
ほとんどない
|
|
腫れ
|
出やすい
|
ほとんどない
|
|
処置時間
|
比較的長い
|
短い
|
手術当日に歯が入る「抜歯即時荷重インプラント」
抜歯即時荷重インプラントは「抜歯」「インプラント埋入」
「仮歯の装着」といった処置を1回で行う方法です。
手術当日に仮の歯が入ることで、見た目の心配がなくなります。
また、当日は固い食べ物は噛めませんが、ある程度の食事が可能。
さらに、従来の方法では、数回の手術が必要だった内容を
1回の手術で終わらせるため、治療期間も大幅に短縮できます。
総入れ歯の方向けの「オールオン4」インプラント
All-on-4(オールオン4)とは、4~6本のインプラントで、片顎12本の人工歯を支えるインプラント治療です。この治療もフラップレスですので、切らない、縫わない、腫れない治療が実現できます。
手術当日に歯が入りますので、歯が無い期間はありません。
以下の方に推奨しています。
・「総入れ歯」に不満を持っている
・歯がボロボロで、綺麗にしたい
このような方におすすめしている理由は、通常のインプラントですと、足りない歯の本数分だけインプラントが必要です。当然、費用も高くなり、治療期間も長くなります。
オールオン4ですと、インプラントは4本、治療費も治療期間もかなり抑えることができます。
以下、比較してみましたので、ご確認ください。
当院のインプラント治療「3つの強み」
インプラント治療を安心して患者さんに受けてもらうためには「治療の精度」「安全性」「充実した設備」などの歯科医院の環境が大事だと考えています。
次からは当院のインプラント治療に対するこだわりについて紹介していきます。
取り組み1 ミスを無くし確実性を高める「3Dコンピューターインプラント」
従来のインプラント治療は、術者の感覚を頼りに治療を行っていたこともあり、事故が起きる可能性も高い傾向がありました。
それは現在のように設備が整っていないのが要因です。外科手術が必要になるインプラント治療は、一つひとつ手順を踏まえて慎重に治療を進めなければいけません。
当院では、3Dコンピューターを駆使し起こり得るトラブルをひとつずつ排除していきます。そのため「安全性」「正確性」の高いインプラント治療を可能にしています。
精密歯科用CT装置
CT画像では顎の骨の厚みや量、神経の位置など、口内の情報を知ることができます。
歯科用CTは、口内を精密に検査できる歯科に特化した機器で、より正確な診断を行うことが可能です。
一般的なレントゲン写真ではわからない、見えない部分までも可視化できるため、確実性と安全性が飛躍的に向上します。
インプラント手術を助ける「シミュレーションソフト」
シミュレーションソフトでは、今まで頭の中でしかできなかったイメージトレーニングをコンピューター上で行うことができます。
撮影したCT画像を元に、インプラントを入れる最適な位置や角度、神経、血管の位置を確認しながら模擬手術が可能です。
シミュレーションができることで、実際の手術時に誤って神経や血管を傷つけるといったリスクを回避できます。
インプラント手術時「サージカルガイドの活用」
CTによる3Dデータを元に、サージカルガイドを作成します。
サージカルガイドは、インプラント手術中に患者さんに
はめてもらうマウスピースです。
サージカルガイドは、理想的な位置にインプラントが
埋入できる設計になっています。
ガイドに沿ってインプラントを埋入することで、理想的な機能と
審美に優れているインプラントに仕上がります。
「精密機器」の活用
歯の治療は繊細さが求められますが、さらにインプラント治療では繊細さに加えて、確実性が求められます。
そういった、精度の高い治療を実現しているのが「マイクロスコープ」です。
マイクロスコープは、肉眼では見ることができない部分まで拡大して、確認することができます。精密な治療や審美性を重視した治療には欠かせない機器です。
ピエゾサージェリー
ピエゾサージェリーとは、超音波骨切削器具のことです。
歯茎や神経、血管などを傷つけずに、骨だけを削ることが特徴です。
超音波の細かい振動で骨だけを削っていくため、骨への
ダメージが少なく、最小限の骨だけを削ることが可能です。
身体へのダメージが少ない分、痛みや腫れるといった症状がほとんどありません。
また、傷口の回復が早く、治療期間の短縮にも繋がります。
取り組み2 信頼性の高いメーカーを採用
インプラント治療の人気の高さから、多くのメーカーがインプラントを開発しています。しかし、中には実績がなく質の悪いインプラントを取り扱っているメーカーもあります。
質の悪いインプラントを使用すると、インプラントが失敗する恐れがあります。
費用や時間をかけたにも関わらず、インプラントが失敗に終わるほど悲しいことはありません。
そういった最悪の結末を防ぐために、当院では実績のあるメーカーのインプラントを採用しています。
当院で取り扱っているメーカーの特徴は下記の通りです。
ストローマン
ストローマンは世界シェアNo1のインプラントメーカーです。
約50年に渡り研究を重ねては改善してきた
ストローマンインプラントは、10年以上長く使い続けられる
研究データも残っています。
また、治療期間を3週間〜4週間にまで短縮できる
インプラントもあり、その安全性も証明されています。
ノーベルバイオケア
インプラントの生みの親とも言われるブローネマルク博士によって
開発されたのがノーベルバイオケア社のインプラントです。
ノーベルバイオケア社のインプラントを使用した患者さんで
40年以上の間、後遺症もなくインプラントを使い続けた話も有名です。
取り組み3 細菌感染を防ぐ独自の「滅菌システム」
完全個室のオペ室
当院では院内感染を防ぐために、完全個室のオペ室を設置しています。
また、オペ室には空気洗浄機を設置し、空気感染や飛沫感染を防ぐ対策をとっています。
DAC
当院では、シロナ社のDACユニバーサル機器を導入。
歯を削る時に使用するタービン、マイクロモーターハンドピース、
エアースケーラーを洗浄、滅菌を短時間で行うことができます。
患者さんに使うものだからこそ、歯を削った時に出るカスや
血液などをしっかりと滅菌できる機器を使用しています。
クラスBオートクレーブ-Lisa-
当院では、ヨーロッパ規格の中でも最高基準である
クラスBの滅菌器を導入。
医科でも使用されている機器で、あらゆる滅菌物を完全に
滅菌できるとされています。
他院でインプラントができないと言われた方へ
インプラントは誰でもできる治療ではありません。
特に、次のことに当てはまる方はインプラントを断られるケースもあります。
全身の健康状態が悪い方
「心臓疾患などの循環器系疾患」「糖尿病」「高血圧」「骨粗しょう症」といった持病がある方はインプラント治療が受けられない場合があります。
インプラントは顎の骨と結合することで、安定する治療法です。
患者さんのリスクが高いと判断した場合には、患者さんの安全性を考えてインプラントができないと伝える歯科医院がほとんどです。
しかし、現在は歯科医療の技術も進歩し、技術や設備が整っている当院では、リスクの低い治療法でインプラントが可能な体制をとっています。
また、患者さん自身で持病をコントロールできていれば、生体モニタリングを活用しながらインプラント治療が可能です。
全身疾患を理由に他院でインプラント治療を断られた方は、ぜひ一度当院にご相談ください。
顎の骨が薄い/足りない方
歯を失っている部分の時間が長いほど、顎の骨は吸収されて厚みがない状態です。
インプラントは顎の骨に固定させるため、骨が「薄い」「足りない」場合には治療を断られることもあります。
当院では「骨造成」という治療法で顎の骨の問題を解決できます。
とはいえ、骨造成はどの歯科医院でもできる処置ではなく、専門性や高い技術が必要です。
次からは、骨造成の術式について詳しく説明していきます。
顎の骨を増やす処置「骨造成」
インプラントをしっかりと安定させるためには、顎の骨の「厚みや高さ」が必要です。
しかし、「歯を失った期間が長い」「虫歯や歯周病が進行している」といった場合には
骨が足りないケースがほとんどです。
骨量が不足している状態でインプラントをすると、インプラントの脱落や再手術といったトラブルが起きる可能性も少なくありません。
そこで当院では、骨の量や厚みを増やす処置「骨造成」を行います。
骨造成を行うことで、インプラント手術時の安全性が高くなる、見た目が美しく仕上がるといったメリットがあります。
骨造成は「GBR法」「ソケットリフト」「サイナスリフト」といった方法があります。下記の表でそれぞれの治療法を詳しく説明しています。
|
GBR法
|
顎骨の幅・高さがない場合に行う術式です。人工骨や自家骨を使い骨の再生を促します。必要な骨が少ないケースではインプラントの埋入と同時に処置できるため、治療期間の短縮が可能です。
|
|
ソケットリフト
|
上あごの骨の高さが6㎜以上の場合に適応。上顎洞粘膜を押し上げてできたスペースに骨を足していきます。傷口が小さく済み、感染リスクが少ないのが特徴。
|
|
サイナスリフト
|
上あごの骨の高さが5㎜以下の場合に適応。骨と膜を剥がしてできたスペースに骨補填剤を入れて骨を増やします。
|