身近に潜む食いしばりの罠
2025年12月11日
みなさまいかがお過ごしでしょうか。Dr.の山本です。
今回は「食いしばり」についてお話しさせていただきます。
一気に冬の足音…どころかもうすぐそこに冬がやってきていますが、
この時期になると増えてくるのが食いしばりによる症状を訴える患者さんです。
この時期は「歯が痛い」といらっしゃる患者さんの体感3割くらいは食いしばりが原因であることが多いです。
というわけで今回は👇
1.簡単食いしばりセルフチェック
2.食いしばりによってみられる症状アレコレ
3.寝てる間だけじゃない!? 意外と怖いTCH
4.解決策は人それぞれ
こんな感じの内容でお話ししていきます。
ほないきましょう。
1.簡単食いしばりセルフチェック
「自分は食いしばりしてるのかな…?」と思っている方もいると思いますが、簡単にできるチェック方法があります。
自覚がある方もいますが、実は食いしばりを自覚できている人はごくわずかです。
もちろんレントゲンなどから総合的に僕たち歯科医師が診断することもありますので、全員に当てはまる内容ではありませんが…
基本的に食いしばりをしている人は顎周りの筋肉が凝っています。
肩凝りと全く同じです。
大体凝る筋肉は決まっていますので、これを読みながら自分で筋肉をモミモミしてみてください💪
モミモミした時に、肩凝りなどのマッサージの時のような痛気持ちいい感じ、もしくは痛みがあれば、食いしばりがあるかもしれませんよ…☝️
特に自分で確認しやすい3つの筋肉をご紹介します💡
まずは「咬筋」

場所としては頬の真横の部分です。
頬を触りながらぐっと噛み締めると膨らむ部分があると思いますが、ここが咬筋です。
咬筋は頬を縦に広く走っていますのでこの辺りを上から下までグッグッと押したりグリグリしてみてください。
食いしばりのある方は大体中央あたりが凝って硬くなっていることが多いです。
次に「側頭筋」

いわゆるこめかみです。
耳にの上部から放射状に広く伸びている筋肉です。
範囲が広い筋肉ですので、いろんなところを指でグイグイしてみてください。
最後に「顎二腹筋後腹」

ちょっと聞きなれない筋肉かと思いますが、実はここが一番痛みが出やすい筋肉です。
場所としては耳とえらの中間辺り、えらの内側を縦に走っている筋肉です。
ここを触るには、まずはバカ殿の様にアイーンと下顎を前に出して、しゃくれた状態でその部分を内側に押してみてください。
食いしばりがひどい人は軽く押しただけで痛みが出ますし、マッサージをした日には痛みで悶えて涙が出ちゃう人もいます。
以上の3つの筋肉をモミモミして、痛気持ち良い〜痛いような症状がある方は、食いしばりをしているかも…?
もし痛みがあった方は、暇な時にマッサージをしてあげてください。
お風呂に入りがらなんてのも良いです♨️
それだけでも凝りがほぐれて食いしばりが少し和らぐことがあります。
もう一つ簡単にチェックできる方法があります。
それは「下顎隆起」があるかどうかです。
鏡で簡単にチェックできます。
下顎隆起とは、下の歯の内側の歯茎にみられる骨の隆起です。
大体犬歯〜小臼歯(真ん中から数えて3,4,5番目の歯)のあたりに出現することが多いです。

これは食いしばりや歯ぎしりの力が歯から骨に伝わってできるものです。
個人差はありますが、下顎隆起があると食いしばりをしている可能性は高いです。
どうです?食いしばり、ありそうですか?
2.食いしばりによってみられる症状アレコレ
では、食いしばりによってどんな症状が出て、みなさん歯医者に来るのでしょうか?
食いしばりによって引き起こされる症状は個人差が大きく人それぞれですが、多いのは
「全体的にしみる」「ジンジンした痛み」といった症状です。
食いしばりがひどいと知覚過敏が強く出る、要は冷たいものがしみやすくなることがあります。
また根っこの周囲に負担がかかるので、歯茎の中の方でジンジンした違和感〜痛みが出ることもあります。
この辺りの症状が、患者さん的には「虫歯かも…?」と思って来院される方が多い印象です。
他にもみられる症状としては、先ほども書いた筋肉の痛みや顎関節症状(ガクガクするとか)などが多いです。
あとは最悪のケースとして歯が割れてしまうことなんかもあります。
神経を取った歯というのは強度が落ちているので、そこに過剰な力がかかれば、歯が真っ二つに割れることもあります。
割れた歯は基本的に抜歯適応です…
食いしばりから出る症状はその人の骨格や歯並びなどによって個人差が非常に大きいです。
色々な症状はありますが、食いしばりが100%原因であるというよりは、元々存在していた問題点を食いしばりが助長している場合が多いかなと思います💡
3.寝てる間だけじゃない!? 意外と怖いTCH
食いしばりというと、寝ている間の歯ぎしりなどを思い浮かべる方が多いと思います。
確かにそれもありますが…
実は起きている時、日中の食いしばりも気づかないうちにやっちゃっている方が非常に多いのです。
これはTooth Contacting Habit(歯列接触癖)といい、TCHと言われたりします。
人間は顎がニュートラルな状態の時、上下の歯は噛んでおらず、2〜3mm程度離れています。
ですが、そのニュートラルな顎の状態でも常に軽く噛んでしまっている状態のことをTCHと言います。
特にデスクワークなどをしている方に多いです。
実は正常な人の場合、上下の歯が接触する時間は、
食事などを含めて1日たったの17分程度と言われたりしています。
少ないですよね!?
よく考えてみてください。
1日8時間デスクワークをしていて、その半分の4時間でも軽く食いしばっていたとしたら?
それに加えて、夜7時間寝てる間にもギリギリ歯ぎしりをしていたら?
歯や顎にかかる力がとんでもないことになるのは明白ですよね。
加えて、先ほど書いた顎の筋肉というのは、どちらかというと瞬間的な力を出すのが得意な筋肉です。
弱い力を長時間維持し続けるのはあまり得意ではありません。
TCHは歯と筋肉にとって、非常に負担の大きい行為なのです。
寝てる間の食いしばりを制御するのは無理ですが、起きている時ならコントロールできます☝️
どこか目につくところに「食いしばらない」「口を開ける」などなんでも良いので付箋を貼っておいて、気付く機会を増やしてあげてください。
これが習慣づいて上下の歯が当たらない時間が増えてくると、歯や顎に取ってかなり楽な状態をキープできます。
あとはTCHとはちょっと違うかもしれませんが、力仕事や筋トレをしている方も、
力を入れる時に食いしばることが多いので注意が必要かと思います。
とはいえ食いしばらないと力が出ないのも確かなので、どうしても、という時はその時だけでもマウスピースをつけるのは有効かもしれません。
極論、上下の歯は食事以外で当たる必要は無いのです。
4.解決策は人それぞれ
食いしばりの症状は多岐に渡るので、それに対する対処法も人それぞれで色々あります。
基本的には就寝時のマウスピース装着や、TCHの改善で寛解することが多いですが、
歯並びの影響のせいでどうしても症状が良くならない場合もあります。
その時は歯列矯正が有効な解決策となることもあります。
基本的に就寝時の歯ぎしりはストレスや疲れからくることが多いので、
そういった時だけ症状が出る、数日で症状が治まる、という程度であれば大きな問題はないかもしれません。
ただし、人によってはストレスも疲れも関係なく毎日歯ぎしりしている人もいます。
そういった方は早急にマウスピースを作ったほうが良い場合もあります。
(歯ぎしり用のマウスピースは保険適用で作成可能です)
このように対応はその人の噛み合わせや歯並び、生活習慣などによっても変わってくるため、
「食いしばりしてるかも…?」という方はぜひお問い合わせください。
たかが食いしばり、されど食いしばりですよ…☝️
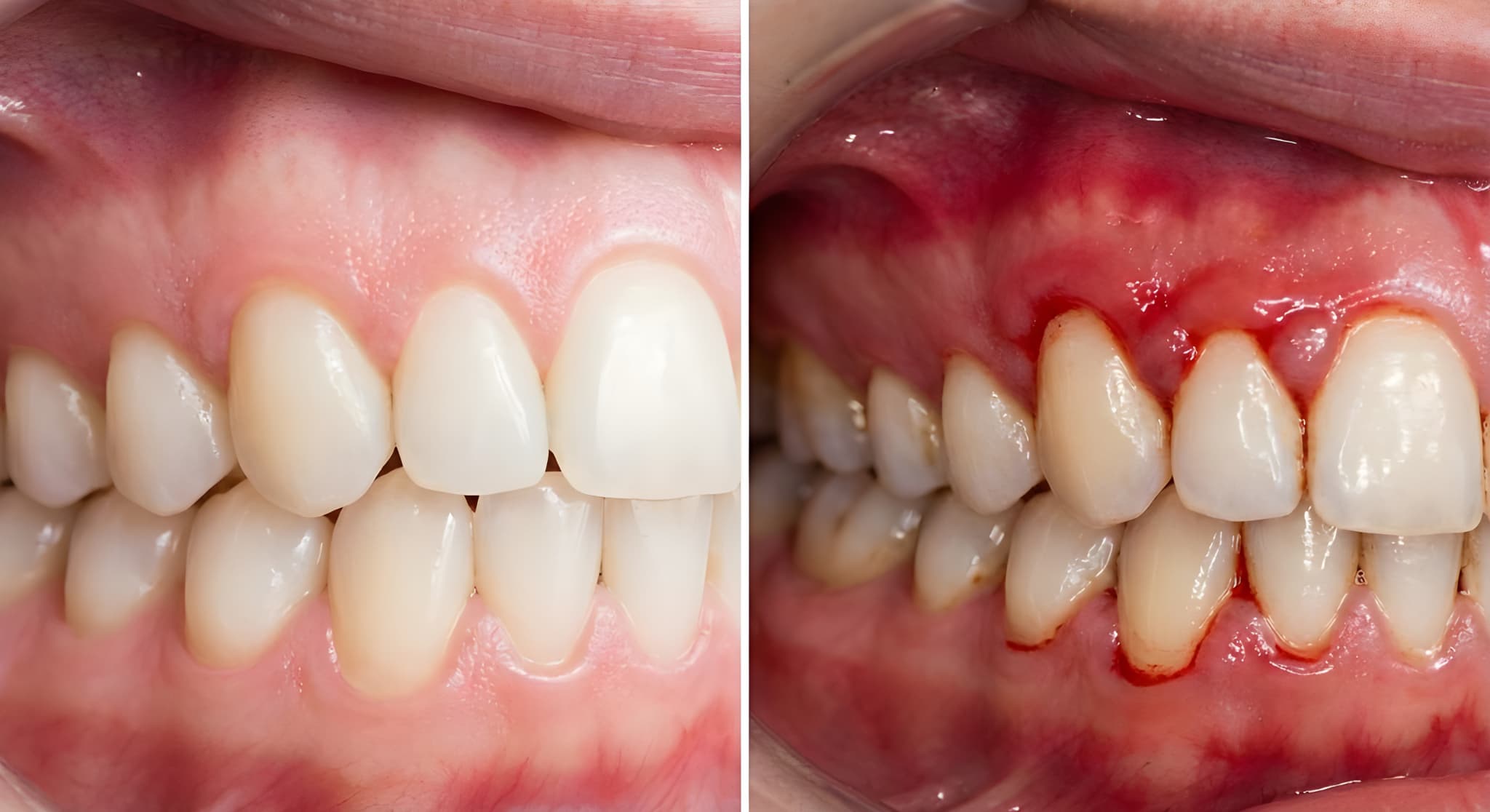
お口と喫煙(タバコ)の関係性
2025年10月31日
こんにちは、歯科衛生士の川口です。
猛暑が過ぎ、秋が来たなあ、と思ったらあっという間に寒くなってきましたね。冬の気配をすでに感じてきています。現在、定期検診に通っていただいている方たちの次回の予約がもう1月末となってきていて、もう年末年始、、、とういう気持ちです。皆様も流行り病に気をつけて過ごされてくださいね。
さて、今回も歯科にまつわる情報を発信していきたいと思います。
今回のブログの内容は・・・
お口と喫煙(タバコ)の関係性 についてです。
「タバコはお口の健康に良くない」というのは、みなさんなんとなくではあっても耳にしたことがあるかと思います。
明確に何が・・・という知識はなくとも漠然とした認識として「タバコ=良くない」というイメージをお持ちの方も多いのではないでしょうか。
実際には、タバコの何が・どのように 口腔内に悪影響を及ぼしていくのでしょうか。
今回もいくつかのトピックに分けて詳しくお話していきたいと思います。
少しでもみなさんのお役に立つことができたら幸いです。
目次
1 タバコとは
2 紙タバコと電子タバコの違い
3 タバコの口腔内への実際の影響
4 禁煙の重要性
5 まとめ
1タバコとは
ナス科タバコ属の植物であるタバコの葉を乾燥・加工して作られた製品のことを指します。
喫煙(燃焼させたり、加熱したりすることで発生する煙や蒸気を吸い込むこと)によってニコチンを摂取するために使用されるものです。
主なモノに、紙巻きタバコ・葉巻・加熱式タバコなどの種類があります。
タバコに含まれるニコチンには依存性があり、ニコチン以外にも多くの有害物質が含まれており、ご本人だけでなく周囲への健康被害も問題になっています。
有害物質の種類とその影響について
ニコチン・・・依存性があり、血管を収縮させて血液の流れを悪くします。
心臓や血管に負担がかかるため、脳卒中や心臓病などの全身疾患のリスクも高めてしまいます。
タール・・・発がん性物質を含み、肺がんなど様々ながんのリスクを高めます。
また口腔内の影響として、歯を黄色くしたり、口臭の原因になったりもします。
一酸化炭素・・・体内の酸素運搬を妨げ、全体の細胞を酸欠状態にします。
そのため、動脈硬化や心筋梗塞、脳梗塞などのリスクを高めます。
これらの有害物質の影響により、喫煙者は非喫煙者に比べて、様々な病気にかかるリスクが高くなります。病気の治療の予後にも影響が出ると言われています。歯にも悪影響を及ぼしてしまいます。
2 紙タバコと電子タバコの違い
近年は従来の紙タバコとは別に電子タバコ(加熱式タバコ)の使用者が増えています。どちらもニコチンを摂取するための製品ですが、違いは何なのでしょうか。
2-1 紙巻きタバコ・・・
・タバコ葉を燃焼させて煙を発生させる
・タール、ニコチンなど人体に有害な物質が含まれる
2-2 電子タバコ・・・
・タバコ葉を使用せずにリキッドを加熱して使用。煙は発生せず、リキッドを加熱した蒸気を発生させる
・ニコチンが含まれていないものが多い
・紙タバコに比べて臭いやヤニが少ない
2-3 加熱式タバコ・・・
・タバコ葉を燃焼させず加熱して蒸気を発生させる
・紙タバコと同様ニコチン含む
・煙や灰は出ないが有害物質含む
3 タバコによる口腔内への影響の実際
3-1 タバコに含まれるニコチン成分が歯肉の毛細血管を収縮させます。収縮により血行が悪くなることで、歯肉に酸素や栄養が行き届かなくなり、歯周病を悪化させてしまいます。
3-2 タールなどの油分が舌に付着し、舌苔(ぜったい)の原因となります。舌苔とは、舌の表面に付着する白い苔状の汚れのことです。タールなどの油分の他に、食べかすや細菌などが混ざり合って形成されます。舌苔は口臭の原因にもなり得ます。
舌苔対策:舌専用のブラシや柔らかい歯ブラシで優しく擦る。よく噛んで食べるようにして唾液分泌を促す。鼻呼吸を意識する。*健康な人にも見られるものなので完全に除去する必要はない
3-3 ニコチンが唾液分泌を抑制し、口腔内の乾燥をまねきます。
3-4 歯肉や歯に色素沈着を起こします。
3-5 タバコに含まれるニコチンやタールが、歯周組織の免疫力を低下させ、歯周病菌の繁殖を促進するため、歯周病やむし歯にかかりやすく、重症化しやすい傾向にあると言われています。
3-6 歯周病の治癒を妨げ、治癒効果を低下させることが知られています。特に外科処置やインプラント治療への影響が大きくなります。
3-7 口腔がんの最も重要な危険因子の一つです。タバコには多くの発がん性物質が含まれていて口腔内の細胞のD N Aを損傷し、異常細胞の増殖を引き起こす可能性があると言われています。
タバコを吸っていると歯肉の炎症や腫れ、出血が起こりにくくなるため、ご自身では歯周病のサインに気づきにくくなることがあります。
実際、歯周病治療を始めても歯肉の治りは悪くなってしまいます。せっかく意を決して歯科に通い、毎日のセルフケアも一生懸命に行っていたとしても、中々改善が見られない・・・もしかしたらタバコが原因になっている可能性もあるかもしれません。
4 禁煙の重要性
4-1 歯周病リスクの低下:禁煙することで歯周病のリスクを大幅に下げることができます。
4-2 治療効果の向上:歯周治療の効果が向上し、治癒も早まると言われています。
4-3 禁煙後は滞っていた歯肉の血流が良くなり、きれいなピンク色の歯肉に回復します。
4-4 食事を美味しく感じたり、肌の調子も良くなったりするなど生活の質も向上するといわれています。
4-5 受動喫煙の防止:自分だけでなく、身近にいる家族や友人など周囲の非喫煙者への受動喫煙を防ぐことができます。
4-6健康寿命の延伸:健康な体を長く保つことができて、生活を高めることができます。
5 まとめ
ここまでいくつかのトピックに分けて「お口と喫煙(タバコ)の関係性」について述べてきました。
デメリットと捉えてしまう観点は多くありますが、タバコを吸うことでリラックスなどのメリットも感じている人もいらっしゃいます。喫煙が完全な悪という考えではありませんが、口腔内や病気への影響も念頭に適切適量で楽しむといいのかもしれませんね。
ここまで見てくださり、ありがとうございました。
何か口腔内でお困りのことがありましたら、仙台ファースト歯科へ一度ご相談ください。
「宮城県 歯周病」、「仙台市 歯周病 歯医者」、「宮城野区 歯周病 歯医者」、「二十人町 歯医者」、「歯医者 健康」
オーラルフレイルとは?
2025年10月14日
こんにちは
仙台ファースト歯科の歯科医師の佐藤です。
今回のブログは「フレイル」についてです。
自分のことだけでなく、ご家族、ご両親にも関係することです。また自分は大丈夫と思っていても少しずつ進行しているのもフレイルの特徴です。
皆さんの参考になれば幸いです。
☆高齢化が進む日本社会と「フレイル」への注目
日本は世界でも類を見ない超高齢社会を迎えています。
高齢者の多くは複数の慢性疾患を抱えており、疾患の重症化予防に加え、要介護状態に至るリスクを減らす「フレイル対策」が大きな関心を集めています。
「フレイル(frailty)」とは、加齢に伴い心身の活力が低下し、生活機能が脆弱になる状態のこと。身体的な衰えだけでなく、精神面や社会的なつながりの減少など、さまざまな側面を含む概念です。
このため、行政や医療・介護の現場では、より「個別性に配慮した支援」が求められています。
☆フレイル予防の3つの柱
「フレイル予防の3つの柱」は次のとおりです。
- 口腔・栄養(食と口の健康)
たんぱく質を中心にバランスの取れた食事を心がけ、定期的に歯科検診を受ける。→今、栄養士さんと連携して食にアプローチしていく歯科医院さんも増えております。
- 身体活動(運動)
ウォーキングや筋トレなど、日常の中で体を動かすことを習慣にする。
- 社会参加(つながり)
友人との食事やボランティアなど、地域との関わりを持ち続ける。
この3つを意識的に保つことで、フレイルの進行を防ぎ、心身の健康を維持できます。
☆口から健康を支える「オーラルフレイル」とは?
近年、特に注目されているのが「オーラルフレイル(oral frailty)」です。
これは、2014年に提唱され、日本歯科医師会が中心となって啓発が進んでいます。
オーラルフレイルとは、口のささいな衰えを放置することで、食べる・話すといった機能の低下を招き、最終的に全身の健康や社会的な活動に悪影響を与える状態を指します。
「食べこぼしが増えた」「むせやすくなった」「発音が不明瞭になった」といった小さなサインは、まさにオーラルフレイルの始まりです。ご自身で感じることはありませんか?
またご家族でそのような兆候を目にすることや感じることはございませんか?
☆オーラルフレイルの4つのレベル
オーラルフレイルは段階的に進行していく概念で、次の4つのレベルから構成されています。
第1レベル:口の健康リテラシーの低下
最初の段階は、「口の健康への関心の低下」です。
高齢になると社会との関わりが減り、特に退職後の男性では地域活動への参加が少なくなる傾向があります。
そうした「社会的フレイル」や精神的な不安定さが、自分の健康、特に口腔への意識低下につながります。
その結果、歯科受診が減少し、歯周病や歯の喪失リスクが高まるのです。
この段階では、「口の健康を意識すること」そのものが予防の第一歩となります。
第2レベル:口のささいなトラブル
次に現れるのが「ささいなトラブル」です。
滑舌の低下、食べこぼし、むせ、噛みにくさ――こうした小さな変化が出始める段階です。
多くの人は「年のせいだから」と柔らかい食品を選ぶようになりますが、これが習慣化すると咀嚼筋が衰え、さらに機能が低下するという悪循環に陥ります。
このレベルでは、「口の変化を自分ごととして自覚し、早めに対応すること」が重要です。
お肉類や繊維質な食品は噛みにくいため避けられたりすると栄養の偏りが生じやすくなります。
第3レベル:口の機能低下
この段階では、口の機能低下が顕在化し、「口腔機能低下症」と診断されることもあります。
咬合力の低下、舌や唇の動きの衰え、口の乾燥などが進み、食べる・話すといった基本的な機能に影響を与えます。
また、栄養摂取の不十分さから**サルコペニア(筋肉量減少)やロコモティブシンドローム(運動器障害)**を引き起こしやすくなる点も注意が必要です。
このレベルでは、歯科医療機関での「口腔機能管理」が推奨されます。
第4レベル:食べる機能の障がい
最終段階では、「摂食嚥下(せっしょくえんげ)機能障害」や「咀嚼機能不全」が見られるようになります。
この段階に至ると、食事そのものが困難になり、低栄養・体力低下を経て要介護状態に至ることも少なくありません。
ここでは医師・歯科医師などによる専門的なリハビリテーションが必要です。
ただし、第1~2レベルの段階で気づき、適切なケアを行えば、進行を止めることは十分に可能です。
4つのレベルを通じて見える「予防の重要性」
オーラルフレイルは単に「口の問題」ではありません。
その背景には、社会参加の減少や精神的な不調、栄養状態の悪化などが密接に関係しているのです。
つまり、オーラルフレイルは「全身のフレイル」への入り口とも言えます。
このため、歯科・医科・介護・地域支援が連携し、包括的なサポート体制を築くことが極めて重要です。
☆フレイルとオーラルフレイルの連鎖
オーラルフレイルは単なる口の問題ではありません。
進行に伴い、食欲低下や体重減少を招き、身体的フレイルや要介護状態への移行を加速させる「入り口」なのです。
したがって、早期発見・早期介入こそ最大の予防策です。
☆「かかりつけ歯科」の役割
歯科診療所は、医科のように専門分化がまだ進んでおらず、小児から高齢者まで幅広く対応できる歯科医院が多いです。
かかりつけ歯科医や歯科衛生士は、患者さんの成長や加齢による口腔機能の変化を長期的に観察し、
その人のライフステージ全体を通じて健康を支えています。
このため、単なる治療だけでなく、
- 機能低下の予兆を早期に発見
- 家族を通じた健康教育
- 閉じこもり傾向の高齢者の支援
など、地域のセーフティネットとしても大きな役割を担っています。
さらに2018年の「口腔機能低下症」保険収載により、科学的評価に基づく継続的管理が可能となりました。
これは、歯科診療所と地域住民主体のサービスが協働する新たなモデルであり、
地域包括ケアシステムの推進に直結する取り組みとして期待されています。
「話す・笑う・噛む・食べる」といった日常の行動を続けることが、心身の健康と社会的つながりを維持する鍵になります。
☆ まとめ1 ― 口の健康が、人生の質を決める
オーラルフレイルは、全身のフレイルの“始まり”であり、“防げる老化”でもあります。
その予防には、かかりつけ歯科の存在が欠かせません。
地域でのつながり、定期的な歯科受診、そして食事や会話を楽しむ習慣が、
「口から始まる健康長寿社会」を実現します。
☆まとめ2:口から始まる健康長寿社会へ
高齢者の健康維持には、「保健事業と介護予防の一体的実施」と「オーラルフレイル対策」の両輪が欠かせません。
日々の生活の中で、
- かかりつけ歯科医を持つ
- よく噛み、よく話し、よく笑う
- 地域の通いの場に参加する
これらの積み重ねが、健康寿命を延ばす最大の鍵となります。
いかがでしたでしょうか。今回のブログが少しでも皆さんのお役に立てればと思います。
仙台ファースト歯科では歯科医師だけでなく歯科衛生士とともに「虫歯治療」「歯周病治療」に加えて「噛み合わせ治療」を行なっていきます。
当院で治療を受けられた患者さんが少しでも健康になってもらえるように心掛けております。
「宮城県 歯周病」、「仙台市 歯周病 歯医者」、「宮城野区 オーラルフレイル 歯医者」、「二十人町 歯医者」、「歯医者、健康」などでお探しの方へ。
仙台ファースト歯科へ一度ご相談ください。
癒合歯・癒着歯とは?
2025年9月29日
こんにちは!歯科衛生士の及川です。
今回は、特に『乳歯(子どもの歯)』によく見られる「癒合歯(ゆごうし)」と「癒着歯(ゆちゃくし)」についてお話していきます。
「前歯が大きくて変わっている」「子どもの歯の数が少ない気がする」など、気になる歯の形や本数について心配されたことはありませんか?もしかすると、それは癒合歯や癒着歯かもしれません。
乳歯では比較的起こりやすい現象で、成長期のお子さんのお口の中を診ていると意外と見つかるものです。早めに知っておくことで、将来の歯並びや健康な永久歯への生え変わりをスムーズにすることができます。
歯はどうやってできるのか?
まず、歯はいつできるのでしょうか。お母さんのお腹にいる時から歯はつくられているのです。
胎生8週頃~:歯胚(しはい)とよばれる歯の芽ができ始める。
胎生9週頃~:歯胚が膨らみ、周囲の上皮が帽子のように増殖する。
胎生14週頃~:エナメル質や象牙質、歯髄(歯の神経)などをつくり始める。
生後6ヶ月頃~:下の前歯が生えくる。
3歳~:乳歯20本が生えそろう。
6歳~:歯が抜け始める。
12歳~:永久歯が生えそろう。
個人差はありますが、上記のような流れで歯はつくられ、生え変わっていきます。ここで覚えていてほしいのは『歯胚』という言葉です。

癒合歯(ゆごうし)とは?
癒合歯は2つの歯胚(歯の芽)が発育途中で結合して1本になった歯のことです。外見は通常より大きく、中央にくびれがあったり、歯冠が双頭状に見えるのが特徴です。内部の歯髄腔(歯の神経があるところ)がつながっている場合もあれば、部分的に分かれている場合もあります。
乳歯でよく見られ、下顎乳前歯部(下の前歯)での発生率が高いといわれています。
特徴
・見た目が大きく、平べったい歯に見える
・本来2本あるはずの歯が1本に見える
・エナメル質や象牙質、歯の神経まで結合している
なぜ起こるのか?
歯ができる途中で、隣同士の歯胚がくっついてしまうことで起こります。
はっきりとした原因は分かっていませんが、遺伝や妊娠中の影響、発育環境などが関係しているといわれています。
癒着歯(ゆちゃくし)とは?
癒着歯は、歯の根っこにあるセメント質動詞がくっついてしまった歯を指します。根の部分でのみ癒着していることが特徴です。そのため外見からは気づきにくく、レントゲン写真で偶然見つかることも多いです。大人の歯でよくみられ、特に上顎大臼歯部(上の奥歯)での発生率が高いといわれています。
特徴
・レントゲンを撮ると歯の根っこ同士がくっついている
・主に永久歯に多く、奥歯でよく見られる
なぜ起こるのか?
炎症や外傷などでセメント質が多く作られてしまったり、歯の根っこが近くにあって成長とともに自然にくっついてしまうこともあります。
癒合歯・癒着歯による影響
・萌出異常と歯列不正
通常の1本分より歯幅が大きく、歯列弓のスペースが不足し、叢生(歯の重なり)が起こることがあります。
・むし歯・歯周病リスク
癒合部には深い縦溝や不規則な窪みが存在することが多く、歯ブラシでプラークを除去しづらい環境です。溝に沿った歯石沈着やむし歯が起こりやすく、歯肉炎から歯周炎へ進行する例もあります。
・永久歯の先天欠如
永久歯の歯胚(歯の芽)が一方もしくは両方欠如している確率が高いといわれています。
・乳歯が抜けづらい
本来、永久歯は乳歯の歯の根を吸収することでグラグラし、自然と抜け落ちます。しかし、癒合歯は歯根吸収がうまく行われないことが多いため、自然に生え変わらない場合があります。
癒合歯と似たもの:双生歯(そうせいし)
癒合歯とよく似た形で「双生歯」というものもあります。これは1つの歯のもとが途中で分かれて2つになりかけた状態です。見た目は癒合歯とほぼ同じですが、歯の本数が減らないという点で区別されます。
癒合歯か双生歯かを見分けるには、レントゲン検査や歯の本数の確認が必要です。
歯の形態異常としての位置づけ
癒合歯や癒着歯は、「歯の形の異常(形態異常)」の一種です。
他にも、以下のような形態異常があります:
・中心結節(ちゅうしんけっせつ):奥歯の真ん中に小さな突起ができる
・湾曲根(わんきょくこん):歯の根っこが曲がっている
・過剰歯、先天欠如:歯の本数が多すぎる/少なすぎる
癒合歯や癒着歯は、見た目の問題だけでなく、将来的な噛み合わせや歯列全体に影響を与える可能性があるため注意が必要です。
治療は必要?どう対応すればよいのか?
癒合歯・癒着歯があるからといって、必ず治療が必要というわけではありません。しかし、以下のような場合には治療や専門的なケアを検討します。
治療が考えられるケース
・虫歯になりやすい構造の場合、定期的なフッ素塗布やシーラントが必要
・永久歯の先天欠如や生え方に異常がある
・歯並びや噛み合わせに影響がある
観察が大切!
特に乳歯の癒合歯は、永久歯への生え変わりに影響することがあるため、定期的な歯科検診で経過観察を行うことがとても重要です。
まとめ
癒合歯や癒着歯は、乳歯や永久歯の形態異常の一つであり、見た目だけでなく将来的な歯列や噛み合わせにも関係してくる可能性があります。
「うちの子の歯、ちょっと変わってる?」と思ったら、早めに歯科医院でご相談ください。成長を見ながら、適切な対応をしていくことが、健康な永久歯の育成と正しい歯並びのための第一歩になります。それでは皆さま定期検診でお待ちしております◎
審美的調和が生み出す笑顔の力
2025年9月16日
みなさんこんにちは!
歯科医師の工藤です。
最近は暑さも落ち着いて過ごしやすい季節になってきましたね!
さっそくですが、初対面の人と会ったとき、ほんの数秒で相手の印象が決まるといわれています。やはり顔からうける印象というものは強く、その中でも特に「口元」は第一印象を良くするために大きな役割を果たします。アメリカでは「美しい歯並びと白い歯」が就職や人間関係にも影響すると考えられ、歯の美しさは清潔感や自己管理力の象徴として重視されているのです。そのため自信をもって笑える口元は日常生活からビジネスシーンまで広い範囲で自分を表現する武器になります。
しかし、口元の美しさをつくる要素は単純に「歯が白ければいい」というものではありません。歯の色や形、歯肉の状態やライン、さらには顔全体とのバランスまで含めて調和していることが、本当に自然で魅力的な笑顔を生み出す鍵となります。このブログでは、笑顔をより自然で美しく見せるために欠かせない”要素”について分かりやすくご紹介します。
1.歯の審美性の基本
歯が美しく見えるためには、いくつかの条件が整っている必要があります。まず大切なのが「色」です。歯はただ真っ白であればよいわけではありません。透明感や自然なツヤがあり、明度や彩度が肌の色や顔の雰囲気に調和していることが重要です。たとえば、色白の方に合う白さと、日焼けした肌に合う白さは異なります。歯の色調は人それぞれの個性を引き立てながら自然に見えるものがより良いとされます。
次に「形態」です。歯の形は隣接する歯と調和していることが基本です。同じ前歯でも、角張った形のほうが調和しやすい人もいれば、丸みを帯びた形がしっくりくる人もいます。一般的に男性は直線的で力強い印象を与える歯が似合い、女性は柔らかいカーブを持つ歯が自然に見える傾向があります。また、年齢によっても歯の形の印象は変わるため、その人のライフステージに合わせたデザインも大切です。
歯の美しさを考える上で欠かせないのが「配列」です。整った歯並びは清潔感を生み、相手に安心感を与えます。ただし、完全に均一でなくても、軽度の個性はその人らしさとして魅力になることもあります。しかし、大きな乱れやねじれは不自然さを感じさせ、不潔な印象につながるため注意が必要です。
さらに、歯の「比率」も重要です。たとえば上顎の中切歯(前歯)は、縦と横の比率が約1.25~1.3であると最も自然で美しく見えるとされています。このように、歯の色、形、配列、比率といった要素が総合的に整うことで、初めて歯は審美的に美しく見えるのです。
2.歯肉の審美性 ― 見落とされがちな美の鍵
歯の美しさを引き立てるもう一つの重要な要素が「歯肉」です。歯肉は歯を囲む額縁のような存在であり、どんなに美しい歯であっても、額縁が乱れていてはその魅力は半減してしまいます。
健康的な歯肉は淡いピンク色をしており、引き締まって弾力があります。歯を支えるラインは左右で対称的でなめらかであり、歯と歯の間には歯間乳頭と呼ばれる部分がしっかり存在していることが理想です。もしここに隙間ができてしまうと「ブラックトライアングル」と呼ばれる黒い三角形が現れ、不健康な印象を与えてしまいます。
また、歯肉ラインの美しさには黄金比があります。一般的に中切歯と犬歯の歯肉ラインは同じ高さにそろい、側切歯のラインはそれよりもわずかに低くなると、アーチを描いたように自然で美しいラインになります。このラインが崩れると、どんなに歯そのものが整っていても違和感のある笑顔になってしまいます。
歯肉に関する代表的な審美的悩みとして「ガミースマイル」があります。これは笑ったときに歯肉が過度に見える状態のことです。本人が気にしていなければ問題ありませんが、多くの人は笑うときに口元を手で隠すなどのコンプレックスを抱えています。ガミースマイルは歯肉整形や矯正治療、さらにはボトックス注射などによって改善することが可能です。
私自身もガミースマイルをコンプレックスに感じており、現在矯正治療で改善中です!
3.歯と顔貌の審美的関係
歯と歯肉が整っていても、それだけで「自然な美しさ」が得られるわけではありません。口元は顔の一部として見られるため、顔全体との調和が何よりも大切です。
笑顔になったとき、上の前歯の先端が下唇のカーブに沿って並んでいるのが理想とされています。これを「スマイルライン」と呼びます。スマイルラインが崩れると、笑顔がぎこちなく、不自然に見えてしまいます。
また、顔の中心を通る正中線と上顎中切歯の正中が一致していることも望ましいとされています。大きくずれると顔全体に違和感を与え、バランスが崩れて見えることがあります。
さらに、顔型と歯の形との調和も重要です。丸顔の方は丸みを帯びた歯が似合い、面長の方には縦長の歯が調和しやすいとされています。男性には直線的で力強い歯が、女性には柔らかくカーブを持つ歯が自然に見える傾向があります。
唇との関係も見逃せません。唇の厚みや形状は歯の見え方に大きな影響を及ぼします。厚い唇を持つ方はやや大きめの歯でも自然に見えますが、薄い唇の場合は繊細なデザインの歯の方が調和しやすいのです。
4.年齢とともに変化する歯と顔貌の関係
加齢は歯や歯肉の見え方に少しずつ影響を与えていきます。たとえば歯肉が下がると歯が長く見えるようになり、上唇が下がることで上顎前歯の露出が減ってしまいます。その結果、下顎前歯が目立ちやすくなり、老けた印象につながることがあります。
さらに咬合高径と呼ばれる上下の歯のかみ合わせの高さが失われると、下顔面が短くなり、ほうれい線やしわ、たるみが目立つようになります。こうした変化は避けられないものですが、審美歯科ではそれらを考慮しながら治療を行うことで「若々しい笑顔」を再現することが可能です。
5.審美的調和を実現する治療アプローチ
審美的な調和をつくるためには、いくつかの治療法があります。
まず代表的なのがホワイトニングです。歯を自然な白さにすることで笑顔は一気に明るい印象になります。重要なのは、単に白くするのではなく、肌の色や顔の雰囲気に合わせて自然な色調を選択することです
。
次に歯肉整形があります。レーザーや外科的な処置を用いて歯肉ラインを整えることで、ガミースマイルや不揃いなラインを改善できます。これにより、歯と歯肉の調和がとれた口元を実現できます。
矯正治療も大切です。歯並びを整えるだけでなく、顔貌やスマイルラインとのバランスを考慮しながら治療を進めることで、より自然で美しい仕上がりになります。近年ではマウスピース型矯正装置(インビザラインなど)も普及しており、目立たずに治療を行うことが可能です。
補綴治療では、セラミックを用いて歯の色や形、比率をデザインし直すことができます。単に歯を作り変えるのではなく、顔貌全体との調和を意識した補綴治療は、若返り効果や口元のボリューム改善にもつながります。
6.審美的調和がもたらす心理的効果
美しい歯と顔貌の調和は、単なる見た目の美しさにとどまりません。自分の笑顔に自信を持てるようになることで、会話やコミュニケーションがスムーズになり、人間関係がより豊かになります。また、若々しく健康的な印象を与えるため、ビジネスやプライベートにおいても大きなメリットがあります。
さらに、笑顔に自信を持てるようになることは自己肯定感の向上にもつながります。審美歯科は外見を整える医療であると同時に、患者さんの心の在り方や生き方を前向きに変えていく力を持っているのです。
7.まとめ
歯の美しさは、歯そのものだけでなく歯肉との調和、そして顔貌全体とのバランスによって決まります。歯の色や形、配列、比率が整い、健康的な歯肉が自然なラインを描き、スマイルラインや正中線が顔全体と調和しているとき、笑顔は最も美しく見えます。
ただここまで美しさの基準を説明してきましたが、実際は個々人が感じる美しさが違う場合もあります。私たち歯科医師は基準を明確にしながらも患者さん一人ひとりの願望に寄り添い、自然で自信のある笑顔をデザインすることこそが本質です。
そして当院の方針としては美しさと機能を備えた治療を第一に考えています。実は美しさを求めると自然と歯の寿命を伸ばすことにもつながるのです。
機能の面まで説明するともっと話が長くなってしまうので、それはまた次の機会に!
ではまたお会いしましょう!
歯科と食育の関わりについて
2025年9月10日
こんにちは
歯科衛生士の泉谷です
9月1週目に長期連休をいただきゆっくり休むことができました
また気持ちを一新して仕事に向き合いたいと思います!
今日のブログの内容は前回の妊娠中のお話から少しだけ内容が変わり成長期・青人期・高齢期
に対しての内容になります
題名は食育と歯科のかかわりについてです。
みなさん食育という言葉はご存知ですか?
近年、「食育」という言葉が広く知られるようになりました。
食育とは、健全な食生活を送るために必要な知識や能力を育てる教育活動であり、すべての世代にとって重要なテーマです。
特に子どもたちに対する食育は、生涯にわたる健康の土台を築く上で不可欠です。
また歯科医療の現場においても、口腔の健康と食生活は切っても切り離せない関係にあります。虫歯や歯周病といった疾患の予防だけでなく、よく噛むこと、味覚の発達、栄養摂取の質など、食と歯科は相互に深く影響を与え合っています。
今日は、食育と歯科の関係性に焦点を当て、両者が協力して健康づくりに果たす役割を考察します。
- 食育とは
食育基本法(2005年施行)では、食育を「生きる上での基本であって、知育・徳育・体育の基礎となるべきもの」と位置づけています。食に関する知識と食を選択する力を身に付け、健全な食生活を実践できる人間を育てることが目的です。
具体的な内容として:
- 栄養バランスの取れた食事の理解
- 食材や調理法への関心
- 地産地消や食文化の理解
- 食事のマナーや共食の重要性
- 噛むこと・味わうことの意義
これらの項目は、単なる栄養指導を超え、心身の成長、社会性、さらには環境問題にも関わる幅広い教育活動です。
- 歯科と食育のかかわり
歯科医療の観点から見た食育は、「噛む」「飲み込む」「味わう」といった口腔機能の発達や維持と密接に関連しています。歯が健康でなければ、いかに栄養バランスのよい食事を心がけても、その効果が発揮されないことがあります。
(1) 咀嚼と栄養吸収
しっかりと咀嚼することで、唾液の分泌が促進され、消化吸収がスムーズになります。また、噛むことで脳が活性化され、満腹中枢が刺激されるため、過食防止にもつながります。特に子どもの頃から「よく噛む習慣」を育てることは、将来的な肥満予防にも効果があります。
(2) 口腔機能の発達と食形態
離乳期の赤ちゃんには、口腔機能の発達に合わせた適切な食形態の提供が重要です。歯の生え方、顎の成長、舌の動きなどを観察しながら、ステップを踏んで離乳を進めることが求められます。これには専門職のアドバイスが不可欠です。
(3) 虫歯予防と食習慣
甘味飲料やお菓子の摂取頻度が高い子どもほど、虫歯のリスクは高まります。食育では、間食のとり方や飲料の選択についても教えることで、虫歯予防につながります。また、食後の歯みがきの習慣化も重要なテーマです。
- ライフステージ別のアプローチ
(1) 乳幼児期
この時期は、「食べることの楽しさ」と「基本的な生活習慣」を身につける大切な時期です。歯科の視点からは、乳歯の萌出状況や咬合の確認、授乳・離乳の方法、指しゃぶりや口呼吸などの生活習慣も含めて総合的に支援します。保護者に対する食育支援も重要です。
(2) 学童期・思春期
成長期におけるエネルギー・栄養の必要量が高まるこの時期は、バランスのとれた食事の理解と実践が必要です。同時に、嗜好の偏りや食への無関心も生じやすくなります。歯科医療従事者は、口腔内の定期健診を通じて、食習慣や歯磨き習慣の指導を行うことができます。
(3) 成人期
この時期は生活習慣病の予防が中心となります。糖尿病や高血圧といった疾患と口腔の健康(特に歯周病)との関連も強く、歯科医院での栄養指導が有効です。また、ストレスや不規則な生活による食習慣の乱れにも注意が必要です。
(4) 高齢期
高齢者では、噛む力や飲み込む力の低下が食生活に大きく影響します。歯を失っている場合、義歯の調整や口腔ケアを通じて、食べる楽しみを維持することが重要です。低栄養や誤嚥性肺炎の予防には、歯科からのアプローチが欠かせません。
- 歯科医療従事者の役割と多職種連携
食育を推進する上で、歯科医師・歯科衛生士などの歯科医療従事者の役割は非常に大きく、以下のような活動が期待されます。
- 学校や保育園での食育指導や講話
- フッ化物塗布・シーラントなど予防処置とあわせた食事指導
- 地域保健活動との連携(保健所、栄養士、保育士、医師など)
- 摂食嚥下障害への対応と栄養士との連携
歯科からの情報提供や助言により、食育の効果をより実践的かつ継続的なものにすることが可能となります。
最後に食育は、口から始まる「生きる力」を育てる重要な取り組みです。そして、その入り口である「口腔」の健康を守る歯科医療は、食育における要とも言えます。今後も歯科と食育が一体となり、すべての世代における健康寿命の延伸に寄与することが
求められています。
個人的にブログを書きながら食育に関して関心があまりなかったのですが書きながら歯科衛生士としても大事ですが個人的に食育って大事だなと改めて考えさせらせました。
勉強や仕事が忙しいと栄養のバランスを意識しての食事は難しいと思いますが今後ことを考えて少し栄養を考えた食事をしたいと思います。
フェルールって何?歯を長持ちさせる“のり代”の重要性
2025年8月20日
こんにちは!仙台ファースト歯科ドクターの田所です。
最近暑いですね。みなさん夏休みはゆっくり過ごせましたでしょうか。私の地元の茨城ではラッキーフェスで盛り上がっていたようで、母親が最前列でノリノリで楽しんでいる動画が送られてきました。笑
ということで、今日のお題は 『ノリ』しろ についてです。
被せ物が外れた時、根は残っているのに歯医者さんが悩ましい顔をしてうなっていた経験はありませんか?
この時私たち歯科医師は、「のりしろ」について考えていることが多いです。
これを『フェルール』と言います。
実際フェルールを考えない日はないくらい、毎日フェルールと向き合って治療しています。
「フェルール、、?」
専門用語なので、聞いたことがない方がほとんどだと思いますが、歯学部生は試験にもよく出る、超重要ワードです。学生時代の私はそこまで重要だとは思っていませんでしたが、今になってその重要性を実感しています。
実はこのフェルールの有無が、みなさんの歯の寿命を大きく左右します。
みなさんにもぜひ知っていてもらいたい知識です。
今回は、工作や製本で使う「のり代」に例えながら、わかりやすく解説します。
⸻
1. フェルールとは?
フェルール(ferrule)とは、歯に被せ物(クラウン)を装着するときに必要な、歯ぐきより上に残っている天然の歯質の部分です。
特に歯ぐきの上に2mm以上ぐるっと一周残っていることが、被せ物を長持ちさせる条件とされています。ちなみにただ2mmあればいいわけではなく、最低1mmの厚みも必要です。
では簡単に、このフェルールを「のり代」で考えてみましょう。
紙と紙を貼り合わせるとき、端っこギリギリにのりを塗っても、すぐ剥がれますよね。
でも、端から少し内側にしっかりとした「のり代」を作って貼ると、強く引っ張っても外れにくくなります。
フェルールは、歯と被せ物をしっかり固定するための“のり代”のようなものです。
⸻
2. なぜフェルールが大事なの?
フェルール(=のり代)があると、次のようなメリットがあります。
(1) 噛む力を分散できる
噛むときの力は想像以上に強く、奥歯では自分の体重に近い重さがかかります。
のり代があると、その力を歯の外側全体で受け止められるため、根の部分に過剰な負担がかかりません。
(2) 歯の根が割れにくくなる
のり代がないと、被せ物の土台が根だけになり、力が一点集中します。
これは、細い棒の先に重いものをつけて振り回すようなもので、ちょっとした衝撃でパキッと割れてしまいます。
根が割れると、ほとんどの場合抜歯です。
(3) 被せ物が外れにくくなる
のり代は、接着剤だけに頼らず、被せ物を機械的にロックする役割も果たします。
のり代がなければ、時間が経つと外れる可能性が高くなります。
⸻
3. フェルールが足りないとどうなる?
のり代が1mm以下、あるいは全くない状態では、いくら高価な被せ物を作っても、長持ちしないことが多いです。
起こりやすいトラブルは…
• 被せ物がすぐ外れる
• 噛んだ瞬間に歯の根が割れる
• 根の周りに膿がたまって腫れる
• 結果的に抜歯になる
つまり、のり代が不足すると「貼った直後はきれいでも、すぐ剥がれる工作」と同じ状態になるのです。
⸻
4. フェルールを確保する方法
「フェルールが足りない」と診断されても、条件次第ではのり代を増やす方法があります。
(1) 歯肉圧排・歯肉切除
歯ぐきを一時的に押し下げて、隠れていた歯質を見えるようにする方法。軽度不足のときに使われます。骨との位置関係が条件を満たせば歯肉を切除する場合もあります。
(2) クラウンレングスニング(歯冠延長術)
歯ぐきや骨の位置を下げて、歯の地上部分を増やす外科的処置です。
物理的にのり代を作る方法ですが、外科手術なので適応の見極めが大切です。
(3) 矯正的挺出
矯正の力で歯を少しずつ引っ張り出し、歯ぐきより上に歯質を増やす方法。
時間はかかりますが、歯を削らずにのり代を作れる利点があります。
★ただしこれらの方法は、のり代は作れますがその分歯茎や骨を減らすため、見た目や安定性に影響することもあります。歯科医師が適応を見極めるのが非常に重要になります。
⸻
5. 抜歯の判断とフェルール
「360度ぐるっと2mmのフェルール」が残せるかどうかが、保存できるか抜くかの分かれ道になることが多いです。
少し専門的な内容にはなりますが、フェルール効果の有効性は多くの研究で証明されています。SorensenとEngelman(1990)は、フェルールが2mm以上確保できた歯は破折リスクが著しく低下すると報告しました。また、LibmanとNicholls(1995)も、フェルールの存在がクラウンの維持安定性に大きく寄与することを示しています。さらに、Naumannら(2006, 2012)のメタ解析においても、フェルールの有無がポストコア修復(根の中から上に立てる土台のこと)の長期的な成功率に直結することが示されており、臨床的にも非常に重要な要素であることが明らかになっています。
のり代が十分に確保できないと、長期的には壊れる可能性が高いため、抜歯+インプラントやブリッジの方が予後が良いと判断されることもあります。
つまり、抜歯か保存かは「根が残っているか」だけでなく「のり代を作れるか」でも決まります。
⸻
6. 実際の例
奥歯の大きな虫歯で、歯ぐきの下まで溶けてしまっているケース。
根は健康でも、歯ぐきの上に出ている部分(のり代)がほとんどなければ、そのままでは被せ物が持ちません。
このとき、クラウンレングスニングや矯正的挺出でのり代を増やせれば、抜歯を回避できることがあります。
逆に、根の形や位置の問題でのり代を作れない場合は、無理に残してもすぐ壊れてしまいます。
⸻
7. のり代(フェルール)を守るためにできること
フェルールは自然に増えることはありません。
だからこそ、普段から歯を守る生活が大切です。口腔内というのは、常に湿潤状態(水分のある環境)にあり、細菌が多く存在します。その中でみなさんの大事な歯は食事の度に外的な刺激を受け続けています。
• 虫歯を小さいうちに治す(←そもそも被せ物の治療に至らないようにする)
• 被せるときに削る量が多くなるような材質を選ばない(←すごく重要です)
• 定期的な歯科検診
• 歯ぎしり・食いしばり対策(ナイトガード)
• 硬い物を無理に噛まない
治療を繰り返すことでみなさんの歯は少しずつ少なくなります。そもそも虫歯を作らないようにすることが大事ですが、修復物をする場合は、なるべく歯を削らない材質を選ぶこと(2025年4月更新の「保険診療と自費診療のギモン」ブログでも触れています!)、修復物がある場合は、それを長持ちさせることがキーとなります。虫歯や修復処置により一度削ってしまった歯はもう戻ってきません。そして自分の歯に勝るものはありません。
⸻
まとめ
フェルールは、歯と被せ物を長持ちさせるための“のり代”です。
2mmの歯質があるかどうかで、治療の成功率や歯の寿命が大きく変わります。
「フェルールが足りない」と言われても、諦める前に方法を相談する価値があります。
当院では適応症を見極めた上で、クラウンレングスニングや矯正的挺出等の処置もご提案させていただいており、残せなかった歯を残す治療もたくさん行っております。
逆に、無理に残してもすぐ壊れる可能性が高い場合は、抜歯を含めた選択を考える方が、長期的に快適に過ごせることもあります。
患者様のお口の中の状態によってご提案できる治療法はさまざまなので、お悩みの方は一度相談にいらしていただければと思います。
のり代を守る=歯を守る。
この意識が、あなたの歯を長く健康に使うための第一歩です。
妊娠中の歯科治療は行っても良い??
2025年8月9日
こんにちは、歯科医師の山本です。
妊娠すると「歯科検診を受けてくださいね〜」と言われると思います。
普段からかかりつけがあり定期検診に通っている方であれば問題ないですが、そうでない方もいらっしゃると思います。
「虫歯があったら妊娠中でも治療できるのかな…?」
「つわりがひどくて歯磨きができない…」
といった心配をされてる方も多いはず。
今回は妊娠中の歯科への通院についてお話ししていきたいと思います。
妊娠中は体の変化が大きく、ついつい自分の健康管理よりも赤ちゃんのことを優先しがちです。
でも実は、妊娠中こそ口の中の健康管理がとても大切だということをご存じでしょうか?
今回は「妊娠中の歯科受診」について、必要性から安全な時期、治療内容、予防法などお話ししていきます。
1. 妊娠中に歯科受診は必要?その理由
冒頭でも書いたように、妊娠すると歯科受診をするように言われます。
なぜでしょう?
妊娠中はホルモンバランスの変化により、歯や歯ぐきにさまざまな影響が出ます。
特に増えるのが妊娠性歯肉炎と呼ばれる歯ぐきの炎症。
女性ホルモンが増えることでそれを好む歯周病細菌が増えやすくなり、歯ぐきが腫れやすくなってしまうことで少しの歯垢でも強い炎症を起こすことがあります。
さらに、つわりで歯みがきが十分にできなかったり、酸っぱいものを好んで食べるようになったり、食事回数が不規則になったりすると、虫歯や歯周病のリスクも上がります。
妊娠中の歯周病はお母さんの健康だけでなく、特定の歯周病細菌によっては早産や低体重児出産のリスクを高めると報告されています。
つまり、歯科受診は単なる口腔ケアではなく、赤ちゃんの健康にもつながる大切なことなのです。
2. 妊娠中の安全な受診時期と注意点
妊娠中でも歯科治療は基本的に可能ですが、体調や時期によって向き・不向きがあります。
-
妊娠初期(〜4か月ごろ)
胎児の器官形成期であり、つわりも強い時期。必要最低限の応急処置にとどめ、安定期を待つのがおすすめです。薬の服用などもなるべくは控えたいところです。
-
妊娠中期(5〜7か月ごろ)
安定期に入り、母体・胎児ともに比較的安定している時期。虫歯治療やクリーニングなど、基本的な処置であれば行えます。
-
妊娠後期(8か月〜)
お腹が大きくなり、長時間の仰向け姿勢がつらくなる時期。応急処置や軽い治療のみ行い、出産後に本格治療するのが無理のない方法です。
定期検診以外の処置はなるべく安定期に行うことが望ましいです。
レントゲンや麻酔が大丈夫かも気になるところですよね。
歯科用レントゲンは放射線量が非常に少なく、防護エプロンを着ければ胎児への影響はほぼないとされています。
歯科で撮影するレントゲンの放射線量よりも飛行機に乗った際に浴びる自然放射線の方が多いとされているくらいです。
麻酔薬は基本的に局所で分解されるので赤ちゃんに移行することはないので基本的には問題ありません。
ただし服薬には注意が必要です。
特に妊娠初期に色々と薬を飲んでしまうと赤ちゃんの器官形成に問題が生じる場合があります。
歯科では痛み止めは抗生物質などが処方されることが多いですが、タイミングのよっては飲まない方が良い薬もあります。
どうしても痛みがある時などは一度歯科に相談をして確認しましょう。
3. 妊婦さんが受けられる主な歯科治療と控えるべき処置
妊娠中でも可能な治療は意外と多いです。
-
可能な治療例
-
歯のクリーニング(歯石除去)
-
初期の虫歯治療
-
軽度な歯肉炎・歯周炎の処置
-
応急処置(痛みや腫れの緩和など)
-
控えたい治療例
-
外科的な治療
- 術後に痛みを伴いやすい治療
-
全身麻酔や強い鎮静を伴う治療
-
出産直前の大掛かりな治療
前述の通り、薬をあまり飲んで欲しくないので、外科的な治療やそのほか術後に痛みが出やすい治療などは避けたいところです。
出産後は育児でなかなか時間が取れなくなるため、安定期のうちに必要な治療を済ませておくのが理想です。
もちろんベストは普段から歯科に通い、妊娠前に最低限治療が必要な箇所は全て完了させておくことです。
4. 妊娠中に避けたい歯科トラブルと予防法
妊娠中はどういったお口のトラブルが起きやすいでしょうか。
妊娠中に起こりやすい口腔トラブル
-
妊娠性歯肉炎
-
虫歯の進行
-
口臭
-
歯ぐきの腫れ・出血
-
エナメル質の溶け(つわりによる酸蝕症)
1の部分でもでも書きましたが、特に妊娠初期は体のホルモンバランスが大きく変化し、他にもつわりや酸っぱいものを食べるようになったりと、どうしても口腔内環境は悪くなる方向へと変化しがちになってしまいます。
予防のポイント
-
歯みがきの工夫
つわりで歯みがきがつらい時は、ミントの強い歯みがき粉を避け、ヘッドの小さいブラシや子ども用歯ブラシを使うと楽になる場合もあります。
-
間食後のうがい
食後すぐ歯みがきできない場合は、口をすすぐだけでも効果的です。場合によっては洗口剤なども使えそうであれば併用しても良いでしょう。
-
食事
偏食が出てしまうことももちろんありますが、それ以外のところでは甘いお菓子やジュースの頻度を減らしましょう。
-
定期検診の活用
症状がなくても妊娠中は思わぬ口腔内環境の変化が起こることもあるため、定期検診には可能な限り通うようにしましょう。
5. 安心して歯科を受診するためのポイント
妊娠中に歯科を受診する際は、次のことを歯科医師やスタッフに伝えるとスムーズです。
当院含め、問診票に記入欄があることが多いです。
-
妊娠していることと週数
-
妊娠経過や合併症の有無
-
あれば服用中の薬やサプリメント
-
体調の変化やつわりの有無
この辺りが把握できていれば、相談しながら治療の内容を決めていけるので良いかと思います。
またどうしても多少のリスクをとって治療を行わなければならないこともあるかとは思いますが、そういった部分の相談や同意もとても大切です。
6. 出産後の歯科ケアも忘れずに
妊娠中に治療が難しいとはいえ、出産後は赤ちゃんのお世話で忙しく、それはそれで自分の歯科治療に時間を取ることは難しいことも多いです。
しかし、妊娠中に虫歯や歯周病が進行、悪化している可能性もあります。
また、お母さんの口腔内細菌が赤ちゃんに移行するという話もあるため、可能な限り口腔内環境は綺麗にしておくべきだと思います。
基本的に授乳中などであっても歯科治療は可能です。
またお母さんがしっかりと歯科に通い、時には一緒に歯科医院を訪れ、お母さんが歯科治療やメンテナンスを受けている姿を見せることも大事です。
それによってお子さんが歯科医院という場所に慣れてくれて、自分から歯科でのフッ素塗布や検診を嫌がらずに受けるようになってくれるかもしれません。
妊娠中に応急処置で済ませていた部位などがあれば、なるべく早くに治療を再開しましょう。
後回しになってしまいがちかもですが、放置して悪化してしまっては結局治療の回数も増えてしまい時間を取られてしまいます。
まとめ
妊娠中の歯科受診は、お母さんと赤ちゃんの健康を守る大切なステップです。
安全な時期と方法を知っておけば、必要な治療も安心して受けられます。
ポイントは、安定期に必要な治療を済ませ、日々のケアでトラブルを防ぐこと。
もちろんベストは普段から歯科に通い、問題のない状態を維持しておくことです。
無理のない範囲で口腔ケアを続け、元気な笑顔で出産を迎え、お子さんにも歯の大切さを伝えてあげてください。
お困りのことがあればいつでも相談してくださいね。
子供の口腔ケア
2025年7月30日
みなさまこんにちは。
歯科衛生士の東海林です。あっという間に7月も終わりですね。
8月は夏祭りシーズン!仙台では花火大会もあります。暑すぎるので引き続き熱中症には気をつけましょう!
最近は、2人の子供たちとお休みにはおうちプール三昧★
気の緩みから着々と日焼けをしてしまい、後悔先に立たず…ですね。
さてさて、今回は子供の口腔ケアについて、年齢別にポイントと合わせてお伝えしていきたいと思います。
子供の健康を守るうえで、「歯とお口の健康」はとても大切です。
乳歯はやがて永久歯に生え変わりますが、乳歯のむし歯は将来の歯並びや噛み合わせ、
さらには全身の健康にも大きな影響を与えることがあります。
ここでは、子供の成長に応じた口腔ケアのポイントを

⑴0〜6ヶ月(新生児乳児前期)
⑵6か月〜1歳頃(乳歯の生え始め)
⑶1歳〜2歳(奥歯が生え始める頃)
⑷3歳〜5歳(乳歯列が完成する時期)
⑸6歳〜12歳(混合歯列期:乳歯と永久歯の入れ替わり)
⑹思春期(12歳以降)
の順にお話ししていこうと思います。
⑴0〜6か月(新生児〜乳児前期):お口まわりの健康の土台づくり
この時期はまだ歯が生えていないことがほとんどですが、口腔ケアの始まりとして重要な時期です。
唾液や母乳、ミルクの残りが口の中に残って細菌が繁殖するのを防ぐためにも、清潔に保つ習慣が大切です。
【ケアのポイント】

•授乳後にガーゼや柔らかい布を使って、
口の周りや歯ぐきをやさしく拭いてあげましょう。
•口の中を触られることに慣れさせるために、
遊びの中で「お口を開ける」「ほっぺを触る」などのスキンシップも効果的です。
•この時期に舌の白い汚れ(舌苔)が気になる場合もありますが、
無理に取ろうとせず、気になるようなら小児科や歯科に相談しましょう。
・この時期の哺乳瓶の消毒もとても重要です。
※以下に哺乳瓶の消毒について詳しくお伝えします。
赤ちゃんは、生まれてすぐはお母さんから
もらった免疫(移行抗体)に守られていますが、
それは徐々に減少していきます。とくに生後3か月ごろまでは、外からの細菌やウイルスにとても敏感な時期。
哺乳瓶や乳首には、目に見えないミルクカスや雑菌が残りやすく、
それを通して腸炎や口の中の感染症を起こすこともあります。
清潔な哺乳環境を保つことは、健康な成長に欠かせない第一歩です。
【消毒のポイント】
•毎回ミルクの後に洗浄・消毒をするのが基本
•消毒前に、まずぬるま湯と専用ブラシでしっかり洗う
•消毒方法は3種類:
① 煮沸消毒(鍋で5〜10分)
② 薬液消毒(哺乳瓶専用の消毒液に浸す)
③ 電子レンジ消毒(専用容器を使用)
•消毒後は清潔な場所で自然乾燥し、密閉容器などに保管することが大切です。
⑵6か月〜1歳頃(乳歯の生え始め)

一般的に、最初の乳歯(下の前歯)は生後6か月ごろから生えてきます。
歯が生え始めたら、いよいよ本格的な口腔ケアのスタートです。
【ケアのポイント】
•歯が1本でも見えたら、歯ブラシでのケアを開始します。ヘッドの小さな乳児用歯ブラシを使いましょう。
•1日1回、寝る前のタイミングで親がしっかり仕上げ磨きを行います。
•歯磨き粉はまだ使わず、水だけで十分です。
•歯がためなど、口の中を刺激するおもちゃもお口の発達に効果的です。
•歯が生え始めたら初めての歯科受診をし、フッ素塗布を行いましょう。
⑶1歳〜2歳(奥歯が生え始める頃)
この時期には上下4本ずつの前歯がそろい、徐々に奥歯(第一乳臼歯)も生えてきます。
食事の内容も離乳食から幼児食へと進み、むし歯のリスクが高まります。
【ケアのポイント】
•仕上げ磨きを1日1〜2回、特に夜寝る前はしっかりと行いましょう。
•歯ブラシは子どもが握りやすいタイプを選び、親が仕上げ磨きを徹底してください。
•歯磨き粉はフッ素濃度500ppm以下のものを米粒大の量から少しずつ使っても良いですが、
まだ飲み込んでしまうことが多いのでフッ素の濃度と量には注意が必要です。
•おやつの与え方にも注意を!だらだら食べはむし歯の原因になります。時間を決めて与えることが大切です。
•定期的に歯科健診を受け、小さいうちから歯科医院に慣れることもとても大切です。
⑷3歳〜5歳(乳歯列が完成する時期)
この時期には乳歯がほぼ生えそろい、20本の乳歯でしっかり噛むようになります。
自分で歯磨きをしようとする意欲も出てきますので、自分で磨く習慣をつけましょう。
夜の仕上げ磨きをはしっかり行うようにしましょう。
【ケアのポイント】
•子どもに歯磨きを「習慣づける」ことが重要です。遊び感覚や絵本を使って歯磨きへの興味を引きましょう。
•歯磨き粉はフッ素濃度500〜950ppmのものを使い、うがいができるようになれば使い始めてOKです。
•定期的に歯科健診を受け、フッ素塗布や歯並びのチェックを行いましょう。
•反対咬合などの場合は早めに確認や必要に応じて介入する場合もあるので歯科医院で診てもらいましょう。
•親子での「ながら歯磨き」(お風呂の中で磨く、歌いながら磨くなど)も楽しく習慣化する工夫になります。
•甘いおやつやジュースは頻度を決めて与えましょう。
•うがいの練習をしましょう。最初はご両親のうがいしているところを見てもらい、マネするところから始めてみましょう。
•乳歯列では、上の前歯と奥歯の歯の間がむし歯になりやすいため、仕上げ磨きの際にフロスの使用も始めてみましょう。
使い方や、使った方がいいのか等、心配なことがあれば私たち歯科衛生士に聞いてみてくださいね!
⑸6歳〜12歳(混合歯列期:乳歯と永久歯の入れ替わり)
6歳頃から永久歯への生え変わりが始まります。最初に生えるのは「6歳臼歯」と呼ばれる第一大臼歯。
乳歯の奥から生えるため、見落とされやすく、非常にむし歯になりやすい歯です。
【ケアのポイント】
•生えたばかりの6歳臼歯は溝が深くて磨きにくく、しかも歯質がまだ弱いためむし歯になりやすい歯です。
仕上げ磨きの際には重点的に磨くようにしましょう。
•歯磨き粉は**フッ素濃度950ppm以上(市販の子供用で最大値)**のものを使い、うがいもきちんと行えるように指導します。
•生え変わりの時期は自分での歯磨きも難しくなるため、子ども自身が磨いたあとに、
親ができる限り仕上げ磨きをしてチェックします。
小学校3年生くらいまで、できるならそれ以上でもしてあげられるといいと思います。
•歯列矯正の必要性の検討もこの時期から始まります。歯科医院で定期的なチェックを受けましょう。
•フッ素塗布、シーラント(奥歯の溝を埋めてむし歯を予防する処置)など、予防処置も積極的に取り入れましょう。

⑹思春期(12歳以降):自立とセルフケアの確立
中学生以降は乳歯がすべて抜け、永久歯に置き換わります。
部活動や学業で忙しくなる時期ですが、歯の健康を維持する意識を育てることが大切です。
【ケアのポイント】
•歯磨きの回数や方法を自分で管理できるように促すことが大事です。
•デンタルフロスや歯間ブラシを使ったケアにもチャレンジさせましょう。
•食生活も乱れがちになるため、間食や甘い飲み物の摂取量の管理をアドバイスします。
•歯科健診は年に3〜4回を目安に、むし歯だけでなく歯肉炎のチェックも行いましょう。
★全体を通して大切なこと
1.仕上げ磨きは最低でも小学校低学年までは継続
2.生活習慣(食べ方・飲み方・時間)を整える
3.定期的な歯科健診とフッ素塗布
4.楽しくポジティブに習慣づける
5.保護者の意識が子どもの歯の健康を左右する
乳幼児期から正しい口腔ケアの習慣を身につけることは、将来の健康への投資でもあります。
毎日の小さな積み重ねが、むし歯のない健康な笑顔につながります。
お子さんと一緒に、楽しみながらケアを続けていきましょう。
むし歯になりやすい歯について
2025年7月14日
みなさんこんにちは!歯科衛生士の田中です。
7月も半ばを迎え、暑さとともに体調管理が気になる季節になりました。
最近は熱中症になる方も増えてきているようです。みなさんも水分補給や涼しい場所での休憩など、無理せず夏を乗り切りましょう!
さて今回のテーマは、前回の「むし歯になりにくい食生活・間食の摂り方」にちなんで…
**「虫歯になりやすい歯」**についてお話していきたいと思います。
歯みがきや間食の管理をきちんとしているのに、なぜか虫歯になってしまう…。
そんな方は、もしかしたら「虫歯になりやすい歯の特徴」を持っているのかもしれません。
今日は虫歯ができやすいお口の状態や体質について、詳しくご紹介します。
目次
1. 虫歯ができる4つの原因
2. 虫歯になりやすい歯の特徴とは?
3. 虫歯リスクが高い人の傾向
4. 虫歯になりやすい人の対策方法
5. 日常の「クセ」が虫歯を呼ぶ?
6. お子さまの虫歯を防ぐために
7. 「虫歯になりやすい自分」と上手に付き合うために
8. まとめ
⸻
1. 虫歯ができる4つの原因
まずは虫歯がどうやってできるのか、おさらいです。
虫歯の原因は主に次の4つが重なったときに発生します。
①細菌(ミュータンス菌)
②糖分(砂糖・炭水化物)
③歯の質(強さ・形)
④時間(糖が口の中にとどまる時間)
この中のどれかひとつでも対策ができていないと、虫歯リスクはぐっと高くなります。
特に「歯の質」は人によって違うため、「なりやすい人」と「なりにくい人」の差が出る要因になります。
⸻
2. 虫歯になりやすい歯の特徴とは?
虫歯になりやすい歯にはいくつかの共通点があります。
① 歯の質が弱い
エナメル質(歯の表面)は、体の中でも最も硬い組織ですが、生まれつきの強さには個人差があります。
エナメル質が薄かったり、唾液の質や量が少ない人は、酸に対して弱く、虫歯が進行しやすくなります。
特に乳歯や生えたての永久歯はエナメル質が未成熟で弱いため、虫歯リスクが非常に高いです。
② 歯並びが悪い
歯が重なっていたり、凸凹している部分は、歯ブラシの毛先が届きづらく、汚れが残りやすくなります。
とくに前歯の裏や奥歯の隙間など、磨き残しが多くなると、そこから虫歯が発生してしまうケースが多いです。
③ 奥歯の溝が深い
奥歯の咬む面には「裂溝(れっこう)」と呼ばれる溝があります。
この溝が深いと、食べカスやプラークがたまりやすく、虫歯菌の温床になってしまいます。
子どもの場合、奥歯が生えたばかりの頃はこの溝がとくに深いため、「シーラント(予防充填)」という処置をすることがあります。
④ 歯と歯の間が詰まっている
歯と歯の間に隙間がない状態の歯並びは、一見きれいな歯並びに見えますが、フロスを使わないと汚れが残りやすくなります。
この部分の虫歯は、発見が遅れてしまうこともあるので要注意です。
⸻
3. 虫歯リスクが高い人の傾向
歯の形や並びだけでなく、虫歯になりやすい「体質的な傾向」や「生活習慣」もあります。
● 唾液が少ない
唾液には歯を守るたくさんの働きがあります。
・食べカスや細菌を洗い流す「自浄作用」
・酸性に傾いた口腔内を中性に戻す「緩衝作用」
・カルシウムなどを補給して再石灰化を助ける「再石灰化作用」
ストレスや薬の副作用、加齢、口呼吸などで唾液が減ると、虫歯リスクは大きく高まります。
● 間食や甘い飲み物が多い
ジュース・お菓子など糖分を頻繁に摂っていると、口の中が長時間酸性の状態になります。
前回のブログでも紹介しましたが、「時間」こそが虫歯の大敵。
甘いものは悪ではありませんが、摂る回数やタイミングに気をつけることが重要です。
⸻
4. 虫歯になりやすい人の対策方法
では、そんな「虫歯になりやすい歯」を持っていても、どうやって予防すればよいのでしょうか?
● フッ素の活用
フッ素は歯の再石灰化を促し、エナメル質を強化してくれます。
市販の歯磨き粉にもフッ素配合のものが多くありますが、年齢やリスクに応じた濃度を選びましょう。
必要に応じて歯科でのフッ素塗布もおすすめです。
● シーラント
奥歯の溝が深い子どもには、歯科医院でシーラント(予防用の樹脂)を詰める処置をすることがあります。
食べカスが入らないようにして、虫歯の発生を防ぎます。
● 歯並びの改善
矯正治療によって磨き残しを減らし、虫歯になりにくい環境に整えることも可能です。
大人でも部分矯正など、負担の少ない治療法もありますのでご相談ください。
● 歯間ケアを取り入れる
フロスや歯間ブラシを使った**「歯と歯の間のケア」**は、特に虫歯になりやすい方に重要です。
歯ブラシだけでは約60%しか磨けないと言われていますが、フロスを使えば90%以上を清掃できると言われています。
● 定期検診とクリーニング
自分では気づきにくい虫歯も、歯科医院なら早期発見・早期治療が可能です。
3〜4ヶ月に一度は定期検診を受けることで、リスクを早期に把握し、予防ケアを継続することができます。
⸻
5. 日常の「クセ」が虫歯を呼ぶ?
実は、以下のような生活習慣も虫歯の引き金になります。
● だらだら食べ・ちびちび飲み
間食やジュースを長時間にわたって口にしていると、脱灰が進みます。
「サッと食べてサッとケア」が虫歯予防の鉄則です。
● ながら食べ・寝る前の飲食
咀嚼が減り、唾液も出にくくなります。寝る前の甘いものは特にNGです。
● 口呼吸
口の中が乾燥すると虫歯菌が活動しやすくなります。鼻呼吸を意識しましょう。
⸻
6. お子さまの虫歯を防ぐために
お子さんの虫歯は「仕上げ磨き」と「食習慣」で大きく変わります。
● 仕上げ磨きは小学校低学年までしっかりと
夜だけでも大人の手で磨いてあげましょう。
● 間食の時間管理
だらだら食べを防ぎ、「おやつは時間を決めて」を習慣に。
● フッ素塗布を定期的に
弱いエナメル質を守るために、年3〜4回の塗布が理想です。
⸻
7. 「虫歯になりやすい自分」と上手に付き合うために
「ちゃんと磨いているのに、虫歯になる…」
そう悩む方も少なくありません。
でも、虫歯は体質的な要素や生活習慣、そして環境によっても左右される病気です。
「虫歯になりやすい自分」を否定せず、その上でどんなケアが必要かを知っていくことが大切です。
少しずつでもケアを見直すことで、虫歯のリスクは確実に下げられます。
小さな不安や疑問も、ぜひ歯科医院でご相談くださいね。
8.まとめ
虫歯は、単に「歯みがき不足」だけが原因ではありません。
歯の質や形、唾液の量、生活習慣など、さまざまな要因が関わっています。
「なぜ自分ばかり虫歯になるの?」
そんな疑問を持ったことがある方は、一度、ご自身の歯の特徴や生活習慣を見直してみると良いかもしれません。
私たち仙台ファースト歯科では、一人ひとりの虫歯リスクを丁寧に確認しながら、適切な予防方法をご提案しています。皆さんの歯の健康を、私たちがお手伝いできれば幸いです。
「宮城県 歯周病」、「仙台市 歯周病 歯医者」、「宮城野区 歯周病 歯医者」、「二十人町 歯医者」、「歯医者 健康」でお探しの方へ。
仙台ファースト歯科へ一度ご相談ください。